MPI antibody

Cat. No. GTX114555
Cat. No.  GTX114555
Anti-MPI antibody used in Western Blot (WB). GTX114555
GTX114555 WB Image

Wild-type (WT) and MPI knockout (KO) HeLa cell extracts (30 μg) were separated by 10% SDS-PAGE, and the membrane was blotted with MPI antibody (GTX114555) diluted at 1:2000. The HRP-conjugated anti-rabbit IgG antibody (GTX213110-01) was used to detect the primary antibody.

1 / 3
Anti-MPI antibody used in Western Blot (WB). GTX114555
GTX114555 WB Image

Sample (30 ug of whole cell lysate)
A: JurKat
B: Hela
10% SDS PAGE
GTX114555 diluted at 1:1000

2 / 3
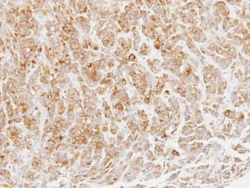
Anti-MPI antibody used in IHC (Paraffin sections) (IHC-P). GTX114555
GTX114555 IHC-P Image

Immunohistochemical analysis of paraffin-embedded TOV21G xenograft, using MPI(GTX114555) antibody at 1:500 dilution.
Antigen Retrieval: Trilogy™ (EDTA based, pH 8.0) buffer, 15min

3 / 3
Anti-MPI antibody used in Western Blot (WB). GTX114555
Anti-MPI antibody used in Western Blot (WB). GTX114555
Anti-MPI antibody used in IHC (Paraffin sections) (IHC-P). GTX114555
  • Host
    Rabbit
  • Clonality
    Polyclonal
  • Isotype
    IgG
  • Applications
    WB IHC-P
  • Reactivity
    Human
See all MPI products