MRI1 antibody [9H7]

Cat. No. GTX84085
Cat. No.  GTX84085
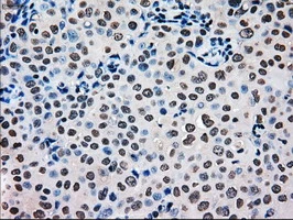
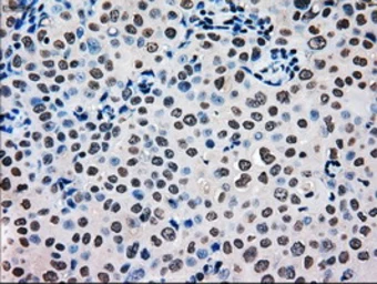
Anti-MRI1 antibody [9H7] used in IHC (Paraffin sections) (IHC-P). GTX84085
GTX84085 IHC-P Image

IHC-P analysis of human kidney carcinoma tissue using GTX84085 MRI1 antibody [9H7].
Antigen retrieval : Heat-induced epitope retrieval by 10mM citrate buffer, pH6.0, 100ºC for 10min.

1 / 7
Anti-MRI1 antibody [9H7] used in Flow cytometry (FCM). GTX84085
GTX84085 FCM Image

FACS analysis of HEK293T cells transfected with either MRI1 plasmid(Red) or empty vector control plasmid(Blue) using GTX84085 MRI1 antibody [9H7].

2 / 7
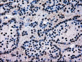
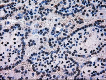
Anti-MRI1 antibody [9H7] used in IHC (Paraffin sections) (IHC-P). GTX84085
GTX84085 IHC-P Image

IHC-P analysis of human pancreas carcinoma tissue using GTX84085 MRI1 antibody [9H7].
Antigen retrieval : Heat-induced epitope retrieval by 10mM citrate buffer, pH6.0, 100ºC for 10min.

3 / 7
Anti-MRI1 antibody [9H7] used in Western Blot (WB). GTX84085
GTX84085 WB Image

WB analysis of HEK293T cells transfected with MRI1 plasmid (Right) or empty vector (Left) for 48 hrs using GTX84085 MRI1 antibody [9H7].
Loading : 5 ug per lane

4 / 7
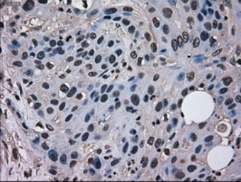
Anti-MRI1 antibody [9H7] used in IHC (Paraffin sections) (IHC-P). GTX84085
GTX84085 IHC-P Image

IHC-P analysis of human breast adenocarcinoma tissue using GTX84085 MRI1 antibody [9H7].
Antigen retrieval : Heat-induced epitope retrieval by 10mM citrate buffer, pH6.0, 100ºC for 10min.

5 / 7
Anti-MRI1 antibody [9H7] used in Immunocytochemistry/ Immunofluorescence (ICC/IF). GTX84085
GTX84085 ICC/IF Image

ICC/IF analysis of COS7 cells transiently transfected with MRI1 plasmid using GTX84085 MRI1 antibody [9H7].

6 / 7
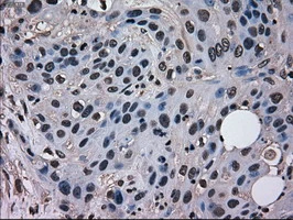
Anti-MRI1 antibody [9H7] used in IHC (Paraffin sections) (IHC-P). GTX84085
GTX84085 IHC-P Image

IHC-P analysis of human endometrium tissue using GTX84085 MRI1 antibody [9H7].
Antigen retrieval : Heat-induced epitope retrieval by 10mM citrate buffer, pH6.0, 100ºC for 10min.

7 / 7
Anti-MRI1 antibody [9H7] used in IHC (Paraffin sections) (IHC-P). GTX84085
Anti-MRI1 antibody [9H7] used in Flow cytometry (FCM). GTX84085
Anti-MRI1 antibody [9H7] used in IHC (Paraffin sections) (IHC-P). GTX84085
Anti-MRI1 antibody [9H7] used in Western Blot (WB). GTX84085
Anti-MRI1 antibody [9H7] used in IHC (Paraffin sections) (IHC-P). GTX84085
Anti-MRI1 antibody [9H7] used in Immunocytochemistry/ Immunofluorescence (ICC/IF). GTX84085
Anti-MRI1 antibody [9H7] used in IHC (Paraffin sections) (IHC-P). GTX84085
  • Host
    Mouse
  • Clonality
    Monoclonal
  • Clone Name
    9H7
  • Isotype
    IgG2b
  • Applications
    WB ICC/IF IHC-P FCM
  • Reactivity
    Human
See all MRI1 products