MROH2A antibody [HL3448]

Cat. No. GTX641321
Cat. No.  GTX641321
Anti-MROH2A antibody [HL3448] used in Immunocytochemistry/ Immunofluorescence (ICC/IF). GTX641321
GTX641321 ICC/IF Image

MROH2A antibody [HL3448] detects MROH2A protein by immunofluorescent analysis.
Sample: RT-4 cells were fixed in 4% paraformaldehyde at RT for 15 min.
Green: MROH2A stained by MROH2A antibody [HL3448] (GTX641321) diluted at 1:500.
Blue: Fluoroshield with DAPI (GTX30920).

1 / 3
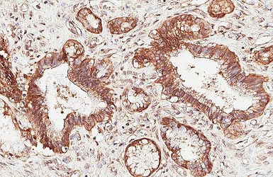
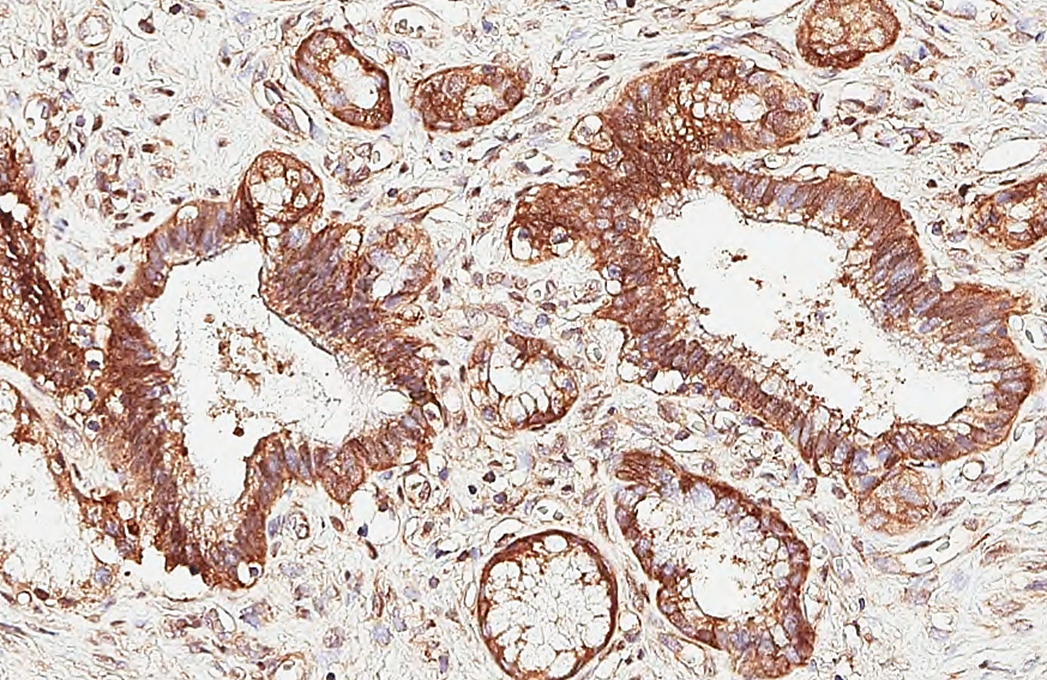
Anti-MROH2A antibody [HL3448] used in IHC (Paraffin sections) (IHC-P). GTX641321
GTX641321 IHC-P Image

MROH2A antibody [HL3448] detects MROH2A protein by immunohistochemical analysis.
Sample: Paraffin-embedded human pancreatic cancer.
MROH2A stained by MROH2A antibody [HL3448] (GTX641321) diluted at 1:100.
Antigen Retrieval: Citrate buffer, pH 6.0, 15 min

2 / 3
Anti-MROH2A antibody [HL3448] used in Western Blot (WB). GTX641321
GTX641321 WB Image

Non-transfected (–) and transfected (+) 293T whole cell extracts (30 μg) were separated by 5% SDS-PAGE, and the membrane was blotted with MROH2A antibody [HL3448] (GTX641321) diluted at 1:5000. The HRP-conjugated anti-rabbit IgG antibody (GTX213110-01) was used to detect the primary antibody, and the signal was developed with Trident ECL plus-Enhanced.

3 / 3
Anti-MROH2A antibody [HL3448] used in Immunocytochemistry/ Immunofluorescence (ICC/IF). GTX641321
Anti-MROH2A antibody [HL3448] used in IHC (Paraffin sections) (IHC-P). GTX641321
Anti-MROH2A antibody [HL3448] used in Western Blot (WB). GTX641321
  • Host
    Rabbit
  • Clonality
    Monoclonal
  • Clone Name
    HL3448
  • Isotype
    IgG
  • Applications
    WB ICC/IF IHC-P
  • Reactivity
    Human
See all MROH2A products