MRPL16 antibody

Cat. No. GTX87544
Cat. No.  GTX87544
Anti-MRPL16 antibody used in Western Blot (WB). GTX87544
GTX87544 WB Image

WB analysis of 293 cell lysates using GTX87544 MRPL16 antibody. The lane on the right is blocked with the synthesized peptide.

1 / 2
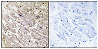
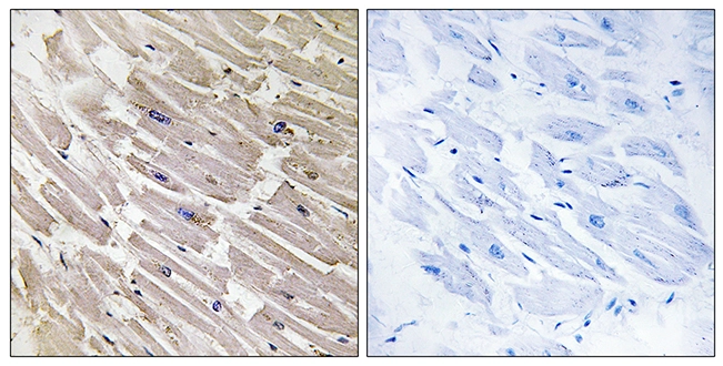
Anti-MRPL16 antibody used in IHC (Paraffin sections) (IHC-P). GTX87544
GTX87544 IHC-P Image

IHC-P analysis of human heart tissue using GTX87544 MRPL16 antibody. The picture on the right is blocked with the synthesized peptide.

2 / 2
Anti-MRPL16 antibody used in Western Blot (WB). GTX87544
Anti-MRPL16 antibody used in IHC (Paraffin sections) (IHC-P). GTX87544
  • Host
    Rabbit
  • Clonality
    Polyclonal
  • Isotype
    IgG
  • Applications
    WB IHC-P
  • Reactivity
    Human
See all MRPL16 products