MRPL45 antibody

Cat. No. GTX66181
Cat. No.  GTX66181
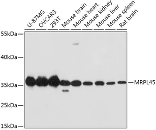
Anti-MRPL45 antibody used in Western Blot (WB). GTX66181
GTX66181 WB Image

WB analysis of various sample lysates using GTX66181 MRPL45 antibody.
Dilution : 1:1000
Loading : 25μg per lane

1 / 4
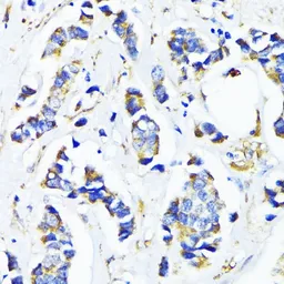
Anti-MRPL45 antibody used in IHC (Paraffin sections) (IHC-P). GTX66181
GTX66181 IHC-P Image

IHC-P analysis of human breast cancer tissue using GTX66181 MRPL45 antibody.
Dilution : 1:100

2 / 4
Anti-MRPL45 antibody used in Immunocytochemistry/ Immunofluorescence (ICC/IF). GTX66181
GTX66181 ICC/IF Image

ICC/IF analysis of HeLa cells using GTX66181 MRPL45 antibody.
Blue : DAPI
Dilution : 1:100

3 / 4
Anti-MRPL45 antibody used in Immunocytochemistry/ Immunofluorescence (ICC/IF). GTX66181
GTX66181 ICC/IF Image

ICC/IF analysis of L929 cells using GTX66181 MRPL45 antibody.
Blue : DAPI
Dilution : 1:100

4 / 4
Anti-MRPL45 antibody used in Western Blot (WB). GTX66181
Anti-MRPL45 antibody used in IHC (Paraffin sections) (IHC-P). GTX66181
Anti-MRPL45 antibody used in Immunocytochemistry/ Immunofluorescence (ICC/IF). GTX66181
Anti-MRPL45 antibody used in Immunocytochemistry/ Immunofluorescence (ICC/IF). GTX66181
  • Host
    Rabbit
  • Clonality
    Polyclonal
  • Isotype
    IgG
  • Applications
    WB ICC/IF IHC-P
  • Reactivity
    Human, Mouse, Rat
See all MRPL45 products