MRPS16 antibody

Cat. No. GTX66585
Cat. No.  GTX66585
Anti-MRPS16 antibody used in Immunocytochemistry/ Immunofluorescence (ICC/IF). GTX66585
GTX66585 ICC/IF Image

ICC/IF analysis of U2OS cells using GTX66585 MRPS16 antibody.
Blue : DAPI
Dilution : 1:100

1 / 2
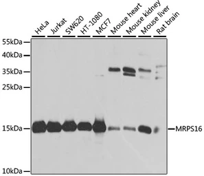
Anti-MRPS16 antibody used in Western Blot (WB). GTX66585
GTX66585 WB Image

WB analysis of various sample lysates using GTX66585 MRPS16 antibody.
Dilution : 1:1000
Loading : 25μg per lane

2 / 2
Anti-MRPS16 antibody used in Immunocytochemistry/ Immunofluorescence (ICC/IF). GTX66585
Anti-MRPS16 antibody used in Western Blot (WB). GTX66585
  • Host
    Rabbit
  • Clonality
    Polyclonal
  • Isotype
    IgG
  • Applications
    WB ICC/IF
  • Reactivity
    Human, Mouse, Rat
See all MRPS16 products