MSH3 antibody [C2C3], C-term

Cat. No. GTX113781
Cat. No.  GTX113781
Anti-MSH3 antibody [C2C3], C-term used in Western Blot (WB). GTX113781
GTX113781 WB Image

A549 whole cell and nuclear extracts (30 μg) were separated by 5% SDS-PAGE, and the membrane was blotted with MSH3 antibody [C2C3], C-term (GTX113781) diluted at 1:1000. The HRP-conjugated anti-rabbit IgG antibody (GTX213110-01) was used to detect the primary antibody.

1 / 5
Anti-MSH3 antibody [C2C3], C-term used in Immunocytochemistry/ Immunofluorescence (ICC/IF). GTX113781
GTX113781 ICC/IF Image

MSH3 antibody [C2C3], C-term detects MSH3 protein at nucleus by immunofluorescent analysis.
Sample: HeLa cells were fixed in 4% paraformaldehyde at RT for 15 min.
Green: MSH3 stained by MSH3 antibody [C2C3], C-term (GTX113781) diluted at 1:500.
Blue: Fluoroshield with DAPI (GTX30920).
Scale bar= 10 μm.

2 / 5
Anti-MSH3 antibody [C2C3], C-term used in IHC (Paraffin sections) (IHC-P). GTX113781
GTX113781 IHC-P Image

Immunohistochemical analysis of paraffin-embedded human colon carcinoma, using MSH3(GTX113781) antibody at 1:500 dilution.
Antigen Retrieval: Trilogy™ (EDTA based, pH 8.0) buffer, 15min

3 / 5
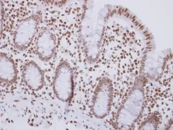
Anti-MSH3 antibody [C2C3], C-term used in IHC (Paraffin sections) (IHC-P). GTX113781
GTX113781 IHC-P Image

MSH3 antibody [C2C3], C-term detects MSH3 protein at nucleus by immunohistochemical analysis.
Sample: Paraffin-embedded human lung cancer.
MSH3 stained by MSH3 antibody [C2C3], C-term (GTX113781) diluted at 1:600.
Antigen Retrieval: Citrate buffer, pH 6.0, 15 min

4 / 5
Anti-MSH3 antibody [C2C3], C-term used in Western Blot (WB). GTX113781
GTX113781 WB Image

HeLa whole cell and nuclear extracts (30 μg) were separated by 5% SDS-PAGE, and the membrane was blotted with MSH3 antibody [C2C3], C-term (GTX113781) diluted at 1:1000. The HRP-conjugated anti-rabbit IgG antibody (GTX213110-01) was used to detect the primary antibody.

5 / 5
Anti-MSH3 antibody [C2C3], C-term used in Western Blot (WB). GTX113781
Anti-MSH3 antibody [C2C3], C-term used in Immunocytochemistry/ Immunofluorescence (ICC/IF). GTX113781
Anti-MSH3 antibody [C2C3], C-term used in IHC (Paraffin sections) (IHC-P). GTX113781
Anti-MSH3 antibody [C2C3], C-term used in IHC (Paraffin sections) (IHC-P). GTX113781
Anti-MSH3 antibody [C2C3], C-term used in Western Blot (WB). GTX113781
  • Host
    Rabbit
  • Clonality
    Polyclonal
  • Isotype
    IgG
  • Applications
    WB ICC/IF IHC-P
  • Reactivity
    Human
See all MSH3 products