MSR1 antibody

Cat. No. GTX03371
Cat. No.  GTX03371
Anti-MSR1 antibody used in IHC (Paraffin sections) (IHC-P). GTX03371
GTX03371 IHC-P Image

IHC-P analysis of rat kidney tissue section using GTX03371 MSR1 antibody.
Antigen retireval : Heat mediated antigen retrieval step in citrate buffer was performed.
Dilution : 1:100

1 / 7
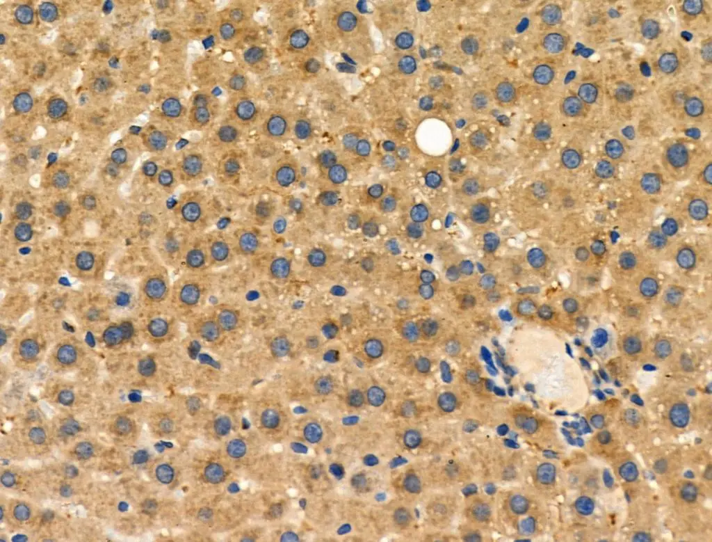
Anti-MSR1 antibody used in IHC (Paraffin sections) (IHC-P). GTX03371
GTX03371 IHC-P Image

IHC-P analysis of rat liver tissue section using GTX03371 MSR1 antibody.
Antigen retireval : Heat mediated antigen retrieval step in citrate buffer was performed.
Dilution : 1:100

2 / 7
Anti-MSR1 antibody used in IHC (Paraffin sections) (IHC-P). GTX03371
GTX03371 IHC-P Image

IHC-P analysis of mouse liver tissue section using GTX03371 MSR1 antibody.
Antigen retireval : Heat mediated antigen retrieval step in citrate buffer was performed.
Dilution : 1:100

3 / 7
Anti-MSR1 antibody used in Western Blot (WB). GTX03371
GTX03371 WB Image

WB analysis of HepG2 cell lysate using GTX03371 MSR1 antibody.

4 / 7
Anti-MSR1 antibody used in Western Blot (WB). GTX03371
GTX03371 WB Image

WB analysis of mouse placenta tissue lysate using GTX03371 MSR1 antibody. The lane on the left was treated with the antigen-specific peptide.

5 / 7
Anti-MSR1 antibody used in IHC (Paraffin sections) (IHC-P). GTX03371
GTX03371 IHC-P Image

IHC-P analysis of human urothelial cancer tissue section using GTX03371 MSR1 antibody.
Antigen retireval : Heat mediated antigen retrieval step in citrate buffer was performed.
Dilution : 1:100

6 / 7
Anti-MSR1 antibody used in Immunocytochemistry/ Immunofluorescence (ICC/IF). GTX03371
GTX03371 ICC/IF Image

ICC/IF analysis of PFA-fixed HepG2 cells using GTX03371 MSR1 antibody.
Red : Primary antibody
Blue : DAPI
Permeabilization : 0.1% Triton X-100
Dilution : 1:200

7 / 7
Anti-MSR1 antibody used in IHC (Paraffin sections) (IHC-P). GTX03371
Anti-MSR1 antibody used in IHC (Paraffin sections) (IHC-P). GTX03371
Anti-MSR1 antibody used in IHC (Paraffin sections) (IHC-P). GTX03371
Anti-MSR1 antibody used in Western Blot (WB). GTX03371
Anti-MSR1 antibody used in Western Blot (WB). GTX03371
Anti-MSR1 antibody used in IHC (Paraffin sections) (IHC-P). GTX03371
Anti-MSR1 antibody used in Immunocytochemistry/ Immunofluorescence (ICC/IF). GTX03371
  • Host
    Rabbit
  • Clonality
    Polyclonal
  • Isotype
    IgG
  • Applications
    WB ICC/IF IHC-P
  • Reactivity
    Human, Mouse, Rat
See all MSR1 products