MTG1 antibody [N1C2]

Cat. No. GTX119864
Cat. No.  GTX119864
Anti-MTG1 antibody [N1C2] used in Western Blot (WB). GTX119864
GTX119864 WB Image

Sample (30 ug of whole cell lysate)
A: Jurkat
12% SDS PAGE
GTX119864 diluted at 1:5000

1 / 2
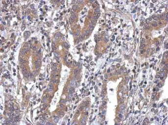
Anti-MTG1 antibody [N1C2] used in IHC (Paraffin sections) (IHC-P). GTX119864
GTX119864 IHC-P Image

Immunohistochemical analysis of paraffin-embedded human colon carcinoma, using MTG1(GTX119864) antibody at 1:500 dilution.
Antigen Retrieval: Trilogy™ (EDTA based, pH 8.0) buffer, 15min

2 / 2
Anti-MTG1 antibody [N1C2] used in Western Blot (WB). GTX119864
Anti-MTG1 antibody [N1C2] used in IHC (Paraffin sections) (IHC-P). GTX119864
  • Host
    Rabbit
  • Clonality
    Polyclonal
  • Isotype
    IgG
  • Applications
    WB IHC-P
  • Reactivity
    Human
See all MTG1 products