MTGR1 antibody

Cat. No. GTX65822
Cat. No.  GTX65822
Anti-MTGR1 antibody used in Immunocytochemistry/ Immunofluorescence (ICC/IF). GTX65822
GTX65822 ICC/IF Image

ICC/IF analysis of U2OS cells using GTX65822 MTGR1 antibody.

1 / 2
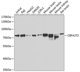
Anti-MTGR1 antibody used in Western Blot (WB). GTX65822
GTX65822 WB Image

WB analysis of various sample lysates using GTX65822 MTGR1 antibody.
Dilution : 1:1000
Loading : 25μg per lane

2 / 2
Anti-MTGR1 antibody used in Immunocytochemistry/ Immunofluorescence (ICC/IF). GTX65822
Anti-MTGR1 antibody used in Western Blot (WB). GTX65822
  • Host
    Rabbit
  • Clonality
    Polyclonal
  • Isotype
    IgG
  • Applications
    WB ICC/IF
  • Reactivity
    Human, Mouse, Rat
See all MTGR1 products