MUC1 antibody [E29] (ready-to-use)

Cat. No. GTX05135
Cat. No.  GTX05135
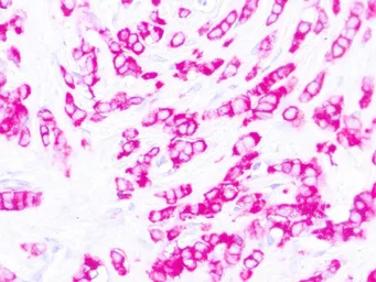
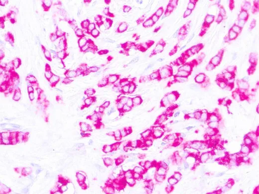
Anti-MUC1 antibody [E29] (ready-to-use) used in IHC (Paraffin sections) (IHC-P). GTX05135
GTX05135 IHC-P Image

IHC-P analysis of human breast carcinoma tissue using GTX05135 Epithelial Membrane Antigen antibody [E29] (ready-to-use).

1 / 1
Anti-MUC1 antibody [E29] (ready-to-use) used in IHC (Paraffin sections) (IHC-P). GTX05135
  • Host
    Mouse
  • Clonality
    Monoclonal
  • Clone Name
    E29
  • Isotype
    IgG2a
  • Applications
    IHC-P
  • Reactivity
    Human
See all Epithelial Membrane Antigen products