MUC1 (phospho Tyr1229) antibody

Cat. No. GTX55325
Cat. No.  GTX55325
Anti-MUC1 (phospho Tyr1229) antibody used in Immunocytochemistry/ Immunofluorescence (ICC/IF). GTX55325
GTX55325 ICC/IF Image

ICC/IF analysis of methanol-fixed HepG2 cells using GTX55325 MUC1 (phospho Tyr1229) antibody.

1 / 3
Anti-MUC1 (phospho Tyr1229) antibody used in Western Blot (WB). GTX55325
GTX55325 WB Image

WB analysis of extracts from HepG2 cells treated with PMA using GTX55325 MUC1 (phospho Tyr1229) antibody.
Left : Primary antibody
Right : Primary antibody pre-incubated with the antigen specific peptide

2 / 3
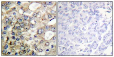
Anti-MUC1 (phospho Tyr1229) antibody used in IHC (Paraffin sections) (IHC-P). GTX55325
GTX55325 IHC-P Image

IHC-P analysis of human breast carcinoma tissue using GTX55325 MUC1 (phospho Tyr1229) antibody.
Left : Primary antibody
Right : Primary antibody pre-incubated with the antigen specific peptide

3 / 3
Anti-MUC1 (phospho Tyr1229) antibody used in Immunocytochemistry/ Immunofluorescence (ICC/IF). GTX55325
Anti-MUC1 (phospho Tyr1229) antibody used in Western Blot (WB). GTX55325
Anti-MUC1 (phospho Tyr1229) antibody used in IHC (Paraffin sections) (IHC-P). GTX55325
  • Host
    Rabbit
  • Clonality
    Polyclonal
  • Isotype
    IgG
  • Applications
    WB ICC/IF IHC-P
  • Reactivity
    Human
See all MUC1 products