MUC2 antibody [C3], C-term

Cat. No. GTX100664
Cat. No.  GTX100664
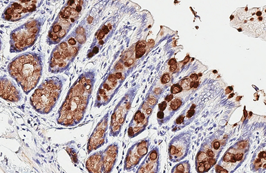
Anti-MUC2 antibody [C3], C-term used in IHC (Paraffin sections) (IHC-P). GTX100664
GTX100664 IHC-P Image

MUC2 antibody [C3], C-term detects MUC2 protein by immunohistochemical analysis.
Sample: Paraffin-embedded human tissues.
MUC2 stained by MUC2 antibody [C3], C-term (GTX100664) diluted at 1:500.
Antigen Retrieval: Citrate buffer, pH 6.0, 15 min
Corresponding RNA levels (RPKM) in the tissues are based on NCBI database.

1 / 10
Anti-MUC2 antibody [C3], C-term used in IHC (Paraffin sections) (IHC-P). GTX100664
GTX100664 IHC-P Image

MUC2 antibody [C3], C-term detects MUC2 protein by immunohistochemical analysis.
Sample: Paraffin-embedded mouse colon.
MUC2 stained by MUC2 antibody [C3], C-term (GTX100664) diluted at 1:500.
Antigen Retrieval: Citrate buffer, pH 6.0, 15 min

2 / 10
Anti-MUC2 antibody [C3], C-term used in IHC (Paraffin sections) (IHC-P). GTX100664
GTX100664 IHC-P Image

MUC2 antibody [C3], C-term detects MUC2 protein by immunohistochemical analysis.
Sample: Paraffin-embedded rat colon.
MUC2 stained by MUC2 antibody [C3], C-term (GTX100664) diluted at 1:500.
Antigen Retrieval: Citrate buffer, pH 6.0, 15 min

3 / 10
Anti-MUC2 antibody [C3], C-term used in IHC (Paraffin sections) (IHC-P). GTX100664
GTX100664 IHC-P Image

MUC2 antibody [C3], C-term detects secreted MUC2 protein in human intestine by immunohistochemical analysis.
Sample: Paraffin-embedded human intestine.
MUC2 antibody [C3], C-term (GTX100664) diluted at 1:750.

Antigen Retrieval: Citrate buffer, pH 6.0, 15 min

4 / 10
Anti-MUC2 antibody [C3], C-term used in Immunocytochemistry/ Immunofluorescence (ICC/IF). GTX100664
GTX100664 ICC/IF Image

The data was published in the journal Antioxidants (Basel) in 2020. PMID: 32150901

5 / 10
Anti-MUC2 antibody [C3], C-term used in Immunocytochemistry/ Immunofluorescence (ICC/IF). GTX100664
GTX100664 ICC/IF Image

The data was published in the journal Biomolecules in 2020.PMID: 32283838

6 / 10
Anti-MUC2 antibody [C3], C-term used in Immunocytochemistry/ Immunofluorescence (ICC/IF). GTX100664
GTX100664 ICC/IF Image

The data was published in the journal Biomolecules in 2020.PMID: 32283838

7 / 10
Anti-MUC2 antibody [C3], C-term used in Immunocytochemistry/ Immunofluorescence (ICC/IF). GTX100664
GTX100664 ICC/IF Image

The data was published in the journal Biomolecules in 2020.PMID: 32283838

8 / 10
Anti-MUC2 antibody [C3], C-term used in Immunocytochemistry/ Immunofluorescence (ICC/IF). GTX100664
GTX100664 ICC/IF Image

The data was published in the journal Biomolecules in 2020.PMID: 32283838

9 / 10
Anti-MUC2 antibody [C3], C-term used in Immunocytochemistry/ Immunofluorescence (ICC/IF). GTX100664
GTX100664 ICC/IF Image

The data was published in the journal Biomolecules in 2020.PMID: 32283838

10 / 10
Anti-MUC2 antibody [C3], C-term used in IHC (Paraffin sections) (IHC-P). GTX100664
Anti-MUC2 antibody [C3], C-term used in IHC (Paraffin sections) (IHC-P). GTX100664
Anti-MUC2 antibody [C3], C-term used in IHC (Paraffin sections) (IHC-P). GTX100664
Anti-MUC2 antibody [C3], C-term used in IHC (Paraffin sections) (IHC-P). GTX100664
Anti-MUC2 antibody [C3], C-term used in Immunocytochemistry/ Immunofluorescence (ICC/IF). GTX100664
Anti-MUC2 antibody [C3], C-term used in Immunocytochemistry/ Immunofluorescence (ICC/IF). GTX100664
Anti-MUC2 antibody [C3], C-term used in Immunocytochemistry/ Immunofluorescence (ICC/IF). GTX100664
Anti-MUC2 antibody [C3], C-term used in Immunocytochemistry/ Immunofluorescence (ICC/IF). GTX100664
Anti-MUC2 antibody [C3], C-term used in Immunocytochemistry/ Immunofluorescence (ICC/IF). GTX100664
Anti-MUC2 antibody [C3], C-term used in Immunocytochemistry/ Immunofluorescence (ICC/IF). GTX100664
  • Host
    Rabbit
  • Clonality
    Polyclonal
  • Isotype
    IgG
  • Applications
    WB ICC/IF IHC-P IHC-Fr
  • Reactivity
    Human, Mouse, Rat, Pig
See all MUC2 products