MVP/LRP antibody

Cat. No. GTX55715
Cat. No.  GTX55715
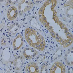
Anti-MVP/LRP antibody used in IHC (Paraffin sections) (IHC-P). GTX55715
GTX55715 IHC-P Image

IHC-P analysis of human kidney cancer tissue using GTX55715 MVP/LRP antibody.
Dilution : 1:200

1 / 5
Anti-MVP/LRP antibody used in Western Blot (WB). GTX55715
GTX55715 WB Image

WB analysis of various sample lysates using GTX55715 MVP/LRP antibody.
Dilution : 1:1000
Loading : 25μg per lane

2 / 5
Anti-MVP/LRP antibody used in IHC (Paraffin sections) (IHC-P). GTX55715
GTX55715 IHC-P Image

IHC-P analysis of human esophagus tissue using GTX55715 MVP/LRP antibody.
Dilution : 1:100

3 / 5
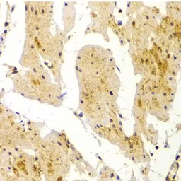
Anti-MVP/LRP antibody used in IHC (Paraffin sections) (IHC-P). GTX55715
GTX55715 IHC-P Image

IHC-P analysis of human gastric cancer tissue using GTX55715 MVP/LRP antibody.
Dilution : 1:200

4 / 5
Anti-MVP/LRP antibody used in Immunocytochemistry/ Immunofluorescence (ICC/IF). GTX55715
GTX55715 ICC/IF Image

ICC/IF analysis of U2OS cells using GTX55715 MVP/LRP antibody.
Blue : DAPI
Dilution : 1:100

5 / 5
Anti-MVP/LRP antibody used in IHC (Paraffin sections) (IHC-P). GTX55715
Anti-MVP/LRP antibody used in Western Blot (WB). GTX55715
Anti-MVP/LRP antibody used in IHC (Paraffin sections) (IHC-P). GTX55715
Anti-MVP/LRP antibody used in IHC (Paraffin sections) (IHC-P). GTX55715
Anti-MVP/LRP antibody used in Immunocytochemistry/ Immunofluorescence (ICC/IF). GTX55715
  • Host
    Rabbit
  • Clonality
    Polyclonal
  • Isotype
    IgG
  • Applications
    WB ICC/IF IHC-P
  • Reactivity
    Human
See all MVP/LRP products