MYH9 antibody [GT218]

Cat. No. GTX633295
Cat. No.  GTX633295
Anti-MYH9 antibody [GT218] used in Western Blot (WB). GTX633295
GTX633295 WB Image

Non-transfected (–) and transfected (+) 293T whole cell extracts (30 μg) were separated by 5% SDS-PAGE, and the membrane was blotted with MYH9 antibody [GT218] (GTX633295) diluted at 1:1000. The HRP-conjugated anti-mouse IgG antibody (GTX213111-01) was used to detect the primary antibody.

1 / 7
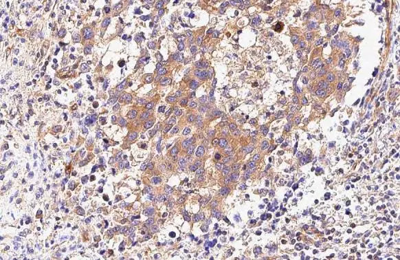
Anti-MYH9 antibody [GT218] used in IHC (Paraffin sections) (IHC-P). GTX633295
GTX633295 IHC-P Image

MYH9 antibody [GT218] detects MYH9 protein at cytoplasm by immunohistochemical analysis.
Sample: Paraffin-embedded human breast carcinoma.
MYH9 stained by MYH9 antibody [GT218] (GTX633295) diluted at 1:200.
Antigen Retrieval: Citrate buffer, pH 6.0, 15 min

2 / 7
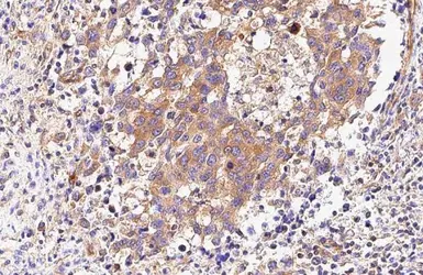
Anti-MYH9 antibody [GT218] used in IHC (Paraffin sections) (IHC-P). GTX633295
GTX633295 IHC-P Image

MYH9 antibody [GT218] detects MYH9 protein by immunohistochemical analysis.
Sample: Paraffin-embedded mouse tissues.
MYH9 stained by MYH9 antibody [GT218] (GTX633295) diluted at 1:200.
Antigen Retrieval: Citrate buffer, pH 6.0, 15 min

3 / 7
Anti-MYH9 antibody [GT218] used in Western Blot (WB). GTX633295
GTX633295 WB Image

Various whole cell extracts (30 μg) were separated by 5% SDS-PAGE, and the membrane was blotted with MYH9 antibody [GT218] (GTX633295) diluted at 1:10000. The HRP-conjugated anti-mouse IgG antibody (GTX213111-01) was used to detect the primary antibody. Corresponding RNA expression data for the same cell lines are based on Human Protein Atlas program.

4 / 7
Anti-MYH9 antibody [GT218] used in IHC (Paraffin sections) (IHC-P). GTX633295
GTX633295 IHC-P Image

MYH9 antibody [GT218] detects MYH9 protein at cytoplasm in mouse brain by immunohistochemical analysis.
Sample: Paraffin-embedded mouse brain.
MYH9 antibody [GT218] (GTX633295) diluted at 1:200.

Antigen Retrieval: Citrate buffer, pH 6.0, 15 min

5 / 7
Anti-MYH9 antibody [GT218] used in Immunocytochemistry/ Immunofluorescence (ICC/IF). GTX633295
GTX633295 ICC/IF Image

MYH9 antibody [GT218] detects MYH9 protein at cytoskeleton by immunofluorescent analysis.
Sample: HeLa cells were fixed in ice-cold MeOH for 5 min.
Green: MYH9 stained by MYH9 antibody [GT218] (GTX633295) diluted at 1:500.
Blue: Fluoroshield with DAPI (GTX30920).

6 / 7
Anti-MYH9 antibody [GT218] used in Western Blot (WB). GTX633295
GTX633295 WB Image

Various whole cell extracts (30 μg) were separated by 5% SDS-PAGE, and the membrane was blotted with MYH9 antibody [GT218] (GTX633295) diluted at 1:500. The HRP-conjugated anti-mouse IgG antibody (GTX213111-01) was used to detect the primary antibody.

7 / 7
Anti-MYH9 antibody [GT218] used in Western Blot (WB). GTX633295
Anti-MYH9 antibody [GT218] used in IHC (Paraffin sections) (IHC-P). GTX633295
Anti-MYH9 antibody [GT218] used in IHC (Paraffin sections) (IHC-P). GTX633295
Anti-MYH9 antibody [GT218] used in Western Blot (WB). GTX633295
Anti-MYH9 antibody [GT218] used in IHC (Paraffin sections) (IHC-P). GTX633295
Anti-MYH9 antibody [GT218] used in Immunocytochemistry/ Immunofluorescence (ICC/IF). GTX633295
Anti-MYH9 antibody [GT218] used in Western Blot (WB). GTX633295
  • Host
    Mouse
  • Clonality
    Monoclonal
  • Clone Name
    GT218
  • Isotype
    IgG2b
  • Applications
    WB ICC/IF IHC-P FCM
  • Reactivity
    Human, Mouse
See all MYH9 products