MYH9 antibody

Cat. No. GTX55718
Cat. No.  GTX55718
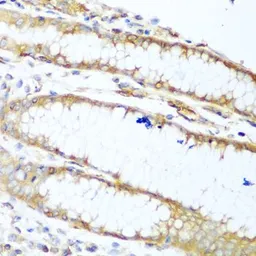
Anti-MYH9 antibody used in IHC (Paraffin sections) (IHC-P). GTX55718
GTX55718 IHC-P Image

IHC-P analysis of human esophagus tissue using GTX55718 MYH9 antibody.
Dilution : 1:100

1 / 4
Anti-MYH9 antibody used in Immunoprecipitation (IP). GTX55718
GTX55718 IP Image

IP analysis of HeLa cell lysate using GTX55718 MYH9 antibody.
Antibody amount : 3μg / 300μg lysate
Dilution : 1:1000

2 / 4
Anti-MYH9 antibody used in Western Blot (WB). GTX55718
GTX55718 WB Image

WB analysis of various sample lysates using GTX55718 MYH9 antibody.
Dilution : 1:1000
Loading : 25μg per lane

3 / 4
Anti-MYH9 antibody used in IHC (Paraffin sections) (IHC-P). GTX55718
GTX55718 IHC-P Image

IHC-P analysis of human stomach tissue using GTX55718 MYH9 antibody.
Dilution : 1:100

4 / 4
Anti-MYH9 antibody used in IHC (Paraffin sections) (IHC-P). GTX55718
Anti-MYH9 antibody used in Immunoprecipitation (IP). GTX55718
Anti-MYH9 antibody used in Western Blot (WB). GTX55718
Anti-MYH9 antibody used in IHC (Paraffin sections) (IHC-P). GTX55718
  • Host
    Rabbit
  • Clonality
    Polyclonal
  • Isotype
    IgG
  • Applications
    WB IHC-P IP
  • Reactivity
    Human, Mouse
See all MYH9 products