Melan A antibody [MSVA-900M] HistoMAX™

Cat. No. GTX04383
Cat. No.  GTX04383
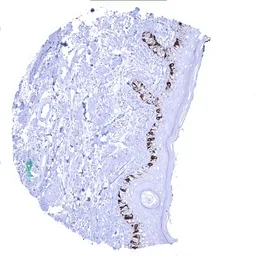
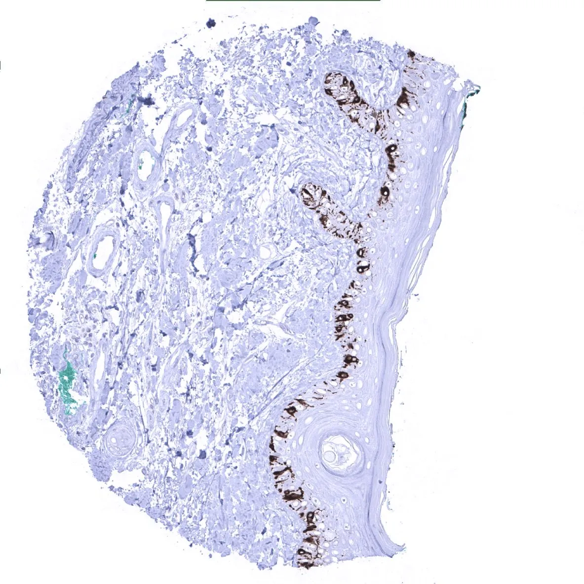
Anti-Melan A antibody [MSVA-900M] HistoMAX™ used in IHC (Paraffin sections) (IHC-P). GTX04383
GTX04383 IHC-P Image

IHC-P analysis of human skin tissue using GTX04383 Melan A antibody [MSVA-900M] HistoMAX™.
A strong Melan A immunostaining is seen in melanocytes.

1 / 3
Anti-Melan A antibody [MSVA-900M] HistoMAX™ used in IHC (Paraffin sections) (IHC-P). GTX04383
GTX04383 IHC-P Image

IHC-P analysis of human kidney tissue using GTX04383 Melan A antibody [MSVA-900M] HistoMAX™.
Melan A stainig is absent in the kidney.

2 / 3
Anti-Melan A antibody [MSVA-900M] HistoMAX™ used in IHC (Paraffin sections) (IHC-P). GTX04383
GTX04383 IHC-P Image

IHC-P analysis of human malignant melanoma from skin tissue using GTX04383 Melan A antibody [MSVA-900M] HistoMAX™.
Malignant melanoma with strong Melan A positivity in all tumor cells.

3 / 3
Anti-Melan A antibody [MSVA-900M] HistoMAX™ used in IHC (Paraffin sections) (IHC-P). GTX04383
Anti-Melan A antibody [MSVA-900M] HistoMAX™ used in IHC (Paraffin sections) (IHC-P). GTX04383
Anti-Melan A antibody [MSVA-900M] HistoMAX™ used in IHC (Paraffin sections) (IHC-P). GTX04383
  • Host
    Mouse
  • Clonality
    Monoclonal
  • Clone Name
    MSVA-900M
  • Isotype
    IgG2a
  • Applications
    IHC-P
  • Reactivity
    Human
Summary
This antibody was validated on 76 different Normal Tissues by IHC-P.

Go to Normal Tissue GalleryGo to Cancer Tissue Gallery

See all Melan A products