Monoglyceride lipase antibody

Cat. No. GTX103517
Cat. No.  GTX103517
Anti-Monoglyceride lipase antibody used in Western Blot (WB). GTX103517
GTX103517 WB Image

Various tissue extracts (50 μg) were separated by 10% SDS-PAGE, and the membrane was blotted with Monoglyceride lipase antibody (GTX103517) diluted at 1:1000. The HRP-conjugated anti-rabbit IgG antibody (GTX213110-01) was used to detect the primary antibody.

1 / 4
Anti-Monoglyceride lipase antibody used in IHC (Paraffin sections) (IHC-P). GTX103517
GTX103517 IHC-P Image

Monoglyceride lipase antibody detects MGLL protein at nucleus on U373 xenograft by immunohistochemical analysis.
Sample: Paraffin-embedded U373 xenograft.
Monoglyceride lipase antibody (GTX103517) dilution: 1:500.

Antigen Retrieval: Trilogy™ (EDTA based, pH 8.0) buffer, 15min

2 / 4
Anti-Monoglyceride lipase antibody used in IHC (Paraffin sections) (IHC-P). GTX103517
GTX103517 IHC-P Image

Monoglyceride lipase antibody detects Monoglyceride lipase protein at nucleus on rat fore brain by immunohistochemical analysis.
Sample: Paraffin-embedded rat fore brain.
Monoglyceride lipase antibody (GTX103517) dilution: 1:500.

Antigen Retrieval: Trilogy™ (EDTA based, pH 8.0) buffer, 15min

3 / 4
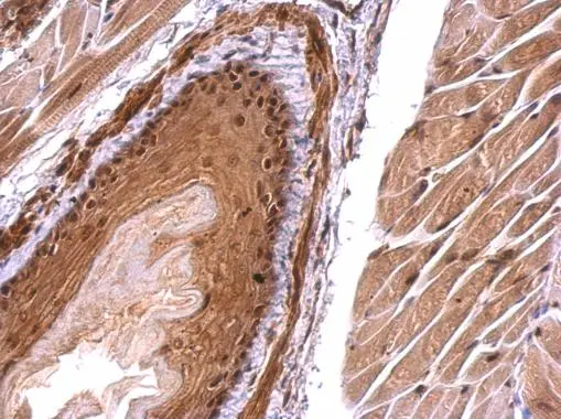
Anti-Monoglyceride lipase antibody used in IHC (Paraffin sections) (IHC-P). GTX103517
GTX103517 IHC-P Image

Monoglyceride lipase antibody detects Monoglyceride lipase protein at nucleus on mouse esophagus by immunohistochemical analysis.
Sample: Paraffin-embedded mouse esophagus.
Monoglyceride lipase antibody (GTX103517) dilution: 1:500.

Antigen Retrieval: Trilogy™ (EDTA based, pH 8.0) buffer, 15min

4 / 4
Anti-Monoglyceride lipase antibody used in Western Blot (WB). GTX103517
Anti-Monoglyceride lipase antibody used in IHC (Paraffin sections) (IHC-P). GTX103517
Anti-Monoglyceride lipase antibody used in IHC (Paraffin sections) (IHC-P). GTX103517
Anti-Monoglyceride lipase antibody used in IHC (Paraffin sections) (IHC-P). GTX103517
  • Host
    Rabbit
  • Clonality
    Polyclonal
  • Isotype
    IgG
  • Applications
    WB IHC-P
  • Reactivity
    Human, Mouse, Rat
See all Monoglyceride lipase products