Mouse PF4 protein, His tag (active)

Cat. No. GTX00334-pro
Cat. No.  GTX00334-pro
Mouse PF4 protein, His tag (active). GTX00334-pro
GTX00334-pro Functional Assay Image

The inhibitory effect of GTX00334-pro Mouse PF4 protein (active) on the FGF basic-dependent proliferation of HUVEC. After incubation of 1 μg/ml of recombinant human FGF1 protein and various concentraions of Mouse PF4 protein (active) for 48 hrs, cell viability was measured by Cell Counting Kit-8 (CCK-8).

1 / 4
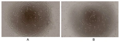
Mouse PF4 protein, His tag (active). GTX00334-pro
GTX00334-pro Functional Assay Image

The inhibition effect of GTX00334-pro Mouse PF4 protein (active) on FGF basic-dependent proliferation.
(A) Unstimulated HUVEC cells cultured in DMEM with 1 μg/ml FGF1 for 48hrs.
(B) HUVEC cells cultured in DMEM with 1 μg/ml FGF1, stimulated with 5 μg/ml PF4 for 48hrs.

2 / 4
Mouse PF4 protein, His tag (active). GTX00334-pro
GTX00334-pro Image

SDS-PAGE analysis of GTX00334-pro Mouse PF4 protein (active).

3 / 4
Mouse PF4 protein, His tag (active). GTX00334-pro
GTX00334-pro Image

WB analysis of GTX00334-pro Mouse PF4 protein (active).

4 / 4
Mouse PF4 protein, His tag (active). GTX00334-pro
Mouse PF4 protein, His tag (active). GTX00334-pro
Mouse PF4 protein, His tag (active). GTX00334-pro
Mouse PF4 protein, His tag (active). GTX00334-pro
  • Applications
    Functional Assay
  • Species
    Mouse
See all PF4 protein products