Myogenin antibody [MGN185]

Cat. No. GTX34884
Cat. No.  GTX34884
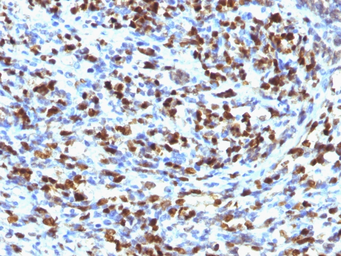
Anti-Myogenin antibody [MGN185] used in IHC (Paraffin sections) (IHC-P). GTX34884
GTX34884 IHC-P Image

IHC-P analysis of human rhabdomyosarcoma tissue using GTX34884 Myogenin antibody [MGN185].

1 / 1
Anti-Myogenin antibody [MGN185] used in IHC (Paraffin sections) (IHC-P). GTX34884
  • Host
    Mouse
  • Clonality
    Monoclonal
  • Clone Name
    MGN185
  • Isotype
    IgG1
  • Applications
    IHC-P
  • Reactivity
    Human, Mouse, Rat, Cat, Pig
See all Myogenin products