Myosin 1C antibody, C-term

Cat. No. GTX81898
Cat. No.  GTX81898
Anti-Myosin 1C antibody, C-term used in Western Blot (WB). GTX81898
GTX81898 WB Image

WB analysis of K562 cell lysate (35ug/lane) using GTX81898 Myosin 1C antibody, C-term.

1 / 2
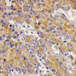
Anti-Myosin 1C antibody, C-term used in IHC (Paraffin sections) (IHC-P). GTX81898
GTX81898 IHC-P Image

IHC-P analysis of human prostata carcinoma using GTX81898 Myosin 1C antibody, C-term.

2 / 2
Anti-Myosin 1C antibody, C-term used in Western Blot (WB). GTX81898
Anti-Myosin 1C antibody, C-term used in IHC (Paraffin sections) (IHC-P). GTX81898
  • Host
    Rabbit
  • Clonality
    Polyclonal
  • Isotype
    IgG
  • Applications
    WB IHC-P
  • Reactivity
    Human
See all Myosin 1C products