NANS antibody

Cat. No. GTX118242
Cat. No.  GTX118242
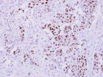
Anti-NANS antibody used in IHC (Paraffin sections) (IHC-P). GTX118242
GTX118242 IHC-P Image

Immunohistochemical analysis of paraffin-embedded human breast cancer, using NANS(GTX118242) antibody at 1:500 dilution.
Antigen Retrieval: Trilogy™ (EDTA based, pH 8.0) buffer, 15min

1 / 3
Anti-NANS antibody used in Western Blot (WB). GTX118242
GTX118242 WB Image

Sample (30 ug of whole cell lysate)
A: HepG2
10% SDS PAGE
GTX118242 diluted at 1:5000

2 / 3
Anti-NANS antibody used in Immunocytochemistry/ Immunofluorescence (ICC/IF). GTX118242
GTX118242 ICC/IF Image

Immunofluorescence analysis of paraformaldehyde-fixed HeLa, using NANS(GTX118242) antibody at 1:500 dilution.

3 / 3
Anti-NANS antibody used in IHC (Paraffin sections) (IHC-P). GTX118242
Anti-NANS antibody used in Western Blot (WB). GTX118242
Anti-NANS antibody used in Immunocytochemistry/ Immunofluorescence (ICC/IF). GTX118242
  • Host
    Rabbit
  • Clonality
    Polyclonal
  • Isotype
    IgG
  • Applications
    WB ICC/IF IHC-P
  • Reactivity
    Human
See all NANS products