NASP antibody

Cat. No. GTX65952
Cat. No.  GTX65952
Anti-NASP antibody used in Western Blot (WB). GTX65952
GTX65952 WB Image

WB analysis of various sample lysates using GTX65952 NASP antibody.
Dilution : 1:1000
Loading : 25μg per lane

1 / 4
Anti-NASP antibody used in IHC (Paraffin sections) (IHC-P). GTX65952
GTX65952 IHC-P Image

IHC-P analysis of human brain astrocytoma tissue using GTX65952 NASP antibody.
Dilution : 1:100

2 / 4
Anti-NASP antibody used in IHC (Paraffin sections) (IHC-P). GTX65952
GTX65952 IHC-P Image

IHC-P analysis of mouse spleen tissue using GTX65952 NASP antibody.
Dilution : 1:100

3 / 4
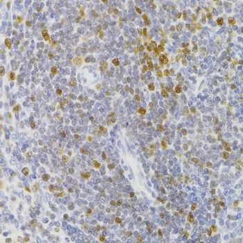
Anti-NASP antibody used in IHC (Paraffin sections) (IHC-P). GTX65952
GTX65952 IHC-P Image

IHC-P analysis of rat spleen tissue using GTX65952 NASP antibody.
Dilution : 1:100

4 / 4
Anti-NASP antibody used in Western Blot (WB). GTX65952
Anti-NASP antibody used in IHC (Paraffin sections) (IHC-P). GTX65952
Anti-NASP antibody used in IHC (Paraffin sections) (IHC-P). GTX65952
Anti-NASP antibody used in IHC (Paraffin sections) (IHC-P). GTX65952
  • Host
    Rabbit
  • Clonality
    Polyclonal
  • Isotype
    IgG
  • Applications
    WB IHC-P
  • Reactivity
    Human, Mouse, Rat
See all NASP products