NCAM antibody [GT249]

Cat. No. GTX634807
Cat. No.  GTX634807
Anti-NCAM antibody [GT249] used in IHC (Paraffin sections) (IHC-P). GTX634807
GTX634807 IHC-P Image

NCAM antibody [GT249] detects NCAM protein by immunohistochemical analysis.
Sample: Paraffin-embedded mouse brain.
NCAM stained by NCAM antibody [GT249] (GTX634807) diluted at 1:1250.
Antigen Retrieval: Citrate buffer, pH 6.0, 15 min

1 / 13
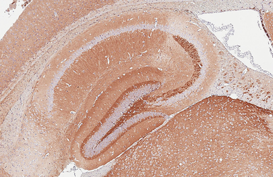
Anti-NCAM antibody [GT249] used in IHC (Paraffin sections) (IHC-P). GTX634807
GTX634807 IHC-P Image

NCAM antibody [GT249] detects NCAM protein by immunohistochemical analysis.
Sample: Paraffin-embedded mouse hippocampus.
NCAM stained by NCAM antibody [GT249] (GTX634807) diluted at 1:1250.
Antigen Retrieval: Citrate buffer, pH 6.0, 15 min

2 / 13
Anti-NCAM antibody [GT249] used in IHC (Paraffin sections) (IHC-P). GTX634807
GTX634807 IHC-P Image

NCAM antibody [GT249] detects NCAM protein by immunohistochemical analysis.
Sample: Paraffin-embedded rat tissues.
NCAM stained by NCAM antibody [GT249] (GTX634807) diluted at 1:1000.
Antigen Retrieval: Citrate buffer, pH 6.0, 15 min

3 / 13
Anti-NCAM antibody [GT249] used in IHC (Paraffin sections) (IHC-P). GTX634807
GTX634807 IHC-P Image

NCAM antibody [GT249] detects NCAM protein by immunohistochemical analysis.
Sample: Paraffin-embedded rat tissues.
NCAM stained by NCAM antibody [GT249] (GTX634807) diluted at 1:1000.
Antigen Retrieval: Citrate buffer, pH 6.0, 15 min

4 / 13
Anti-NCAM antibody [GT249] used in IHC (Paraffin sections) (IHC-P). GTX634807
GTX634807 IHC-P Image

NCAM antibody [GT249] detects NCAM protein by immunohistochemical analysis.
Sample: Paraffin-embedded rat tissues.
NCAM stained by NCAM antibody [GT249] (GTX634807) diluted at 1:1000.
Antigen Retrieval: Citrate buffer, pH 6.0, 15 min

5 / 13
Anti-NCAM antibody [GT249] used in IHC (Paraffin sections) (IHC-P). GTX634807
GTX634807 IHC-P Image

NCAM antibody [GT249] detects NCAM protein by immunohistochemical analysis.
Sample: Paraffin-embedded rat eye.
Green: NCAM stained by NCAM antibody [GT249] (GTX634807) diluted at 1:1250.
Red: beta Tubulin 3/ Tuj1 antibody (GTX130245) diluted at 1:250.
Blue: Hoechst 33342 staining.
Antigen Retrieval: Citrate buffer, pH 6.0, 15 min

6 / 13
Anti-NCAM antibody [GT249] used in IHC (Paraffin sections) (IHC-P). GTX634807
GTX634807 IHC-P Image

NCAM antibody [GT249] detects NCAM protein by immunohistochemical analysis.
Sample: Paraffin-embedded mouse tissues.
NCAM stained by NCAM antibody [GT249] (GTX634807) diluted at 1:1250.
Antigen Retrieval: Citrate buffer, pH 6.0, 15 min

7 / 13
Anti-NCAM antibody [GT249] used in IHC (Paraffin sections) (IHC-P). GTX634807
GTX634807 IHC-P Image

NCAM antibody [GT249] detects NCAM protein by immunohistochemical analysis.
Sample: Paraffin-embedded mouse tissues.
NCAM stained by NCAM antibody [GT249] (GTX634807) diluted at 1:1250.
Antigen Retrieval: Citrate buffer, pH 6.0, 15 min

8 / 13
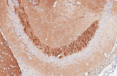
Anti-NCAM antibody [GT249] used in IHC (Paraffin sections) (IHC-P). GTX634807
GTX634807 IHC-P Image

NCAM antibody [GT249] detects NCAM protein by immunohistochemical analysis.
Sample: Paraffin-embedded rat hippocampal CA3.
Green: NCAM stained by NCAM antibody [GT249] (GTX634807) diluted at 1:1250.
Red: beta Tubulin 3/ Tuj1 antibody (GTX130245) diluted at 1:250.
Blue: Fluoroshield with DAPI (GTX30920).
Antigen Retrieval: Citrate buffer, pH 6.0, 15 min

9 / 13
Anti-NCAM antibody [GT249] used in IHC (Paraffin sections) (IHC-P). GTX634807
GTX634807 IHC-P Image

NCAM antibody [GT249] detects NCAM protein by immunohistochemical analysis.
Sample: Paraffin-embedded rat cerebellum.
Green: NCAM stained by NCAM antibody [GT249] (GTX634807) diluted at 1:1250.
Red: beta Tubulin 3/ Tuj1 antibody (GTX130245) diluted at 1:250.
Blue: Fluoroshield with DAPI (GTX30920).
Antigen Retrieval: Citrate buffer, pH 6.0, 15 min

10 / 13
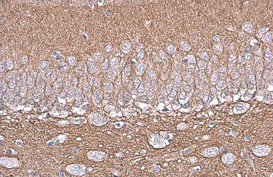
Anti-NCAM antibody [GT249] used in IHC (Paraffin sections) (IHC-P). GTX634807
GTX634807 IHC-P Image

NCAM antibody [GT249] detects NCAM protein by immunohistochemical analysis.
Sample: Paraffin-embedded mouse hippocampus.
NCAM stained by NCAM antibody [GT249] (GTX634807) diluted at 1:1250.
Antigen Retrieval: Citrate buffer, pH 6.0, 15 min

11 / 13
Anti-NCAM antibody [GT249] used in Immunocytochemistry/ Immunofluorescence (ICC/IF). GTX634807
GTX634807 ICC/IF Image

NCAM antibody [GT249] detects NCAM protein by immunofluorescent analysis.
Sample: DIV9 rat E18 primary hippocampal neuron cells were fixed in 4% paraformaldehyde at RT for 15 min.
Green: NCAM stained by NCAM antibody [GT249] (GTX634807) diluted at 1:500.
Red: NeuN, stained by NeuN antibody (GTX132974) diluted at 1:1000.
Blue: Fluoroshield with DAPI (GTX30920).

12 / 13
Anti-NCAM antibody [GT249] used in Western Blot (WB). GTX634807
GTX634807 WB Image

Various tissue extracts (50 μg) were separated by 7.5% SDS-PAGE, and the membrane was blotted with NCAM antibody [GT249] (GTX634807) diluted at 1:1000. The HRP-conjugated anti-mouse IgG antibody (GTX213111-01) was used to detect the primary antibody.

13 / 13
Anti-NCAM antibody [GT249] used in IHC (Paraffin sections) (IHC-P). GTX634807
Anti-NCAM antibody [GT249] used in IHC (Paraffin sections) (IHC-P). GTX634807
Anti-NCAM antibody [GT249] used in IHC (Paraffin sections) (IHC-P). GTX634807
Anti-NCAM antibody [GT249] used in IHC (Paraffin sections) (IHC-P). GTX634807
Anti-NCAM antibody [GT249] used in IHC (Paraffin sections) (IHC-P). GTX634807
Anti-NCAM antibody [GT249] used in IHC (Paraffin sections) (IHC-P). GTX634807
Anti-NCAM antibody [GT249] used in IHC (Paraffin sections) (IHC-P). GTX634807
Anti-NCAM antibody [GT249] used in IHC (Paraffin sections) (IHC-P). GTX634807
Anti-NCAM antibody [GT249] used in IHC (Paraffin sections) (IHC-P). GTX634807
Anti-NCAM antibody [GT249] used in IHC (Paraffin sections) (IHC-P). GTX634807
Anti-NCAM antibody [GT249] used in IHC (Paraffin sections) (IHC-P). GTX634807
Anti-NCAM antibody [GT249] used in Immunocytochemistry/ Immunofluorescence (ICC/IF). GTX634807
Anti-NCAM antibody [GT249] used in Western Blot (WB). GTX634807
  • Host
    Mouse
  • Clonality
    Monoclonal
  • Clone Name
    GT249
  • Isotype
    IgG1
  • Applications
    WB ICC/IF IHC-P
  • Reactivity
    Mouse, Rat
See all NCAM products