NCAM antibody [HL4992]

Cat. No. GTX645078
Cat. No.  GTX645078
Anti-NCAM antibody [HL4992] used in Immunocytochemistry/ Immunofluorescence (ICC/IF). GTX645078
GTX645078 ICC/IF Image

NCAM antibody [HL4992] detects NCAM protein by immunofluorescent analysis.
Sample: SH-SY-5Y cells were fixed in 4% paraformaldehyde at RT for 15 min.
Green: NCAM stained by NCAM antibody [HL4992] (GTX645078) diluted at 1:500.
Red: alpha Tubulin, a cytoskeleton marker, stained by alpha Tubulin antibody [GT114] (GTX628802) diluted at 1:1000.
Blue: Fluoroshield with DAPI (GTX30920).

1 / 11
Anti-NCAM antibody [HL4992] used in IHC (Paraffin sections) (IHC-P). GTX645078
GTX645078 IHC-P Image

NCAM antibody [HL4992] detects NCAM protein by immunohistochemical analysis.
Sample: Paraffin-embedded rat tissues.
NCAM stained by NCAM antibody [HL4992] (GTX645078) diluted at 1:200.
Antigen Retrieval: Citrate buffer, pH 6.0, 15 min

2 / 11
Anti-NCAM antibody [HL4992] used in IHC (Paraffin sections) (IHC-P). GTX645078
GTX645078 IHC-P Image

NCAM antibody [HL4992] detects NCAM protein by immunohistochemical analysis.
Sample: Paraffin-embedded human tissues.
NCAM stained by NCAM antibody [HL4992] (GTX645078) diluted at 1:200.
Antigen Retrieval: Citrate buffer, pH 6.0, 15 min

3 / 11
Anti-NCAM antibody [HL4992] used in IHC (Paraffin sections) (IHC-P). GTX645078
GTX645078 IHC-P Image

NCAM antibody [HL4992] detects NCAM protein by immunohistochemical analysis.
Sample: Paraffin-embedded human tissues.
NCAM stained by NCAM antibody [HL4992] (GTX645078) diluted at 1:200.
Antigen Retrieval: Citrate buffer, pH 6.0, 15 min

4 / 11
Anti-NCAM antibody [HL4992] used in IHC (Paraffin sections) (IHC-P). GTX645078
GTX645078 IHC-P Image

NCAM antibody [HL4992] detects NCAM protein by immunohistochemical analysis.
Sample: Paraffin-embedded mouse tissues.
NCAM stained by NCAM antibody [HL4992] (GTX645078) diluted at 1:200.
Antigen Retrieval: Citrate buffer, pH 6.0, 15 min

5 / 11
Anti-NCAM antibody [HL4992] used in IHC (Paraffin sections) (IHC-P). GTX645078
GTX645078 IHC-P Image

NCAM antibody [HL4992] detects NCAM protein by immunohistochemical analysis.
Sample: Paraffin-embedded mouse tissues.
NCAM stained by NCAM antibody [HL4992] (GTX645078) diluted at 1:200.
Antigen Retrieval: Citrate buffer, pH 6.0, 15 min

6 / 11
Anti-NCAM antibody [HL4992] used in IHC (Paraffin sections) (IHC-P). GTX645078
GTX645078 IHC-P Image

NCAM antibody [HL4992] detects NCAM protein by immunohistochemical analysis.
Sample: Paraffin-embedded mouse eye.
Green: NCAM stained by NCAM antibody [HL4992] (GTX645078) diluted at 1:200.
Red: beta Tubulin 3/ Tuj1 antibody [GT11710] (GTX631836) diluted at 1:500.
Blue: Fluoroshield with DAPI (GTX30920).
Antigen Retrieval: Citrate buffer, pH 6.0, 15 min

7 / 11
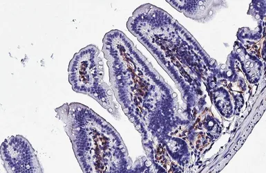
Anti-NCAM antibody [HL4992] used in IHC (Paraffin sections) (IHC-P). GTX645078
GTX645078 IHC-P Image

NCAM antibody [HL4992] detects NCAM protein by immunohistochemical analysis.
Sample: Paraffin-embedded mouse small intestine.
NCAM stained by NCAM antibody [HL4992] (GTX645078) diluted at 1:200.
Antigen Retrieval: Citrate buffer, pH 6.0, 15 min

8 / 11
Anti-NCAM antibody [HL4992] used in Western Blot (WB). GTX645078
GTX645078 WB Image

Untreated (–) and treated (+) unboiled mouse tissue extracts (50 μg) were separated by 7.5% SDS-PAGE, and the membrane was blotted with NCAM antibody [HL4992] (GTX645078) diluted at 1:1000. The HRP-conjugated anti-rabbit IgG antibody (GTX213110-01) was used to detect the primary antibody.

9 / 11
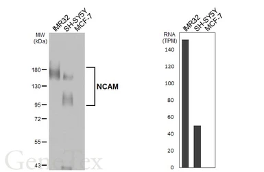
Anti-NCAM antibody [HL4992] used in Western Blot (WB). GTX645078
GTX645078 WB Image

Various whole cell extracts (30 μg) were separated by 7.5% SDS-PAGE, and the membrane was blotted with NCAM antibody [HL4992] (GTX645078) diluted at 1:1000. The HRP-conjugated anti-rabbit IgG antibody (GTX213110-01) was used to detect the primary antibody. Corresponding RNA expression data are based on Human Protein Atlas program.

10 / 11
Anti-NCAM antibody [HL4992] used in Western Blot (WB). GTX645078
GTX645078 WB Image

Boiled and unboiled various tissue extracts (50 μg) were separated by 7.5% SDS-PAGE, and the membrane was blotted with NCAM antibody [HL4992] (GTX645078) diluted at 1:1000. The HRP-conjugated anti-rabbit IgG antibody (GTX213110-01) was used to detect the primary antibody.

11 / 11
Anti-NCAM antibody [HL4992] used in Immunocytochemistry/ Immunofluorescence (ICC/IF). GTX645078
Anti-NCAM antibody [HL4992] used in IHC (Paraffin sections) (IHC-P). GTX645078
Anti-NCAM antibody [HL4992] used in IHC (Paraffin sections) (IHC-P). GTX645078
Anti-NCAM antibody [HL4992] used in IHC (Paraffin sections) (IHC-P). GTX645078
Anti-NCAM antibody [HL4992] used in IHC (Paraffin sections) (IHC-P). GTX645078
Anti-NCAM antibody [HL4992] used in IHC (Paraffin sections) (IHC-P). GTX645078
Anti-NCAM antibody [HL4992] used in IHC (Paraffin sections) (IHC-P). GTX645078
Anti-NCAM antibody [HL4992] used in IHC (Paraffin sections) (IHC-P). GTX645078
Anti-NCAM antibody [HL4992] used in Western Blot (WB). GTX645078
Anti-NCAM antibody [HL4992] used in Western Blot (WB). GTX645078
Anti-NCAM antibody [HL4992] used in Western Blot (WB). GTX645078
  • Host
    Rabbit
  • Clonality
    Monoclonal
  • Clone Name
    HL4992
  • Isotype
    IgG
  • Applications
    WB ICC/IF IHC-P
  • Reactivity
    Human, Mouse, Rat
See all NCAM products