NCK1 antibody [5B7]

Cat. No. GTX60593
Cat. No.  GTX60593
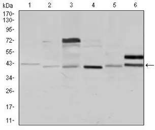
Anti-NCK1 antibody [5B7] used in Western Blot (WB). GTX60593
GTX60593 WB Image

WB analysis of Jurkat (1), HeLa (2), HEK293 (3), A431 (4), K562 (5), and COS7 (6) cell lysate using GTX60593 NCK1 antibody [5B7].

1 / 5
Anti-NCK1 antibody [5B7] used in ELISA (ELISA). GTX60593
GTX60593 ELISA Image

ELISA analysis of antigen using GTX60593 NCK1 antibody [5B7].
Black : Control antigen 100ng
Purple : Antigen 10ng
Blue : Antigen 50ng
Red : Antigen 100ng

2 / 5
Anti-NCK1 antibody [5B7] used in IHC (Paraffin sections) (IHC-P). GTX60593
GTX60593 IHC-P Image

IHC-P analysis of rectum cancer tissue using GTX60593 NCK1 antibody [5B7].

3 / 5
Anti-NCK1 antibody [5B7] used in Flow cytometry (FCM). GTX60593
GTX60593 FCM Image

FACS analysis of Jurkat cells using GTX60593 NCK1 antibody [5B7].
Green : NCK1
Red : negative control

4 / 5
Anti-NCK1 antibody [5B7] used in Western Blot (WB). GTX60593
GTX60593 WB Image

WB analysis of human NCK1 (AA: 203-371) recombinant protein using GTX60593 NCK1 antibody [5B7].

5 / 5
Anti-NCK1 antibody [5B7] used in Western Blot (WB). GTX60593
Anti-NCK1 antibody [5B7] used in ELISA (ELISA). GTX60593
Anti-NCK1 antibody [5B7] used in IHC (Paraffin sections) (IHC-P). GTX60593
Anti-NCK1 antibody [5B7] used in Flow cytometry (FCM). GTX60593
Anti-NCK1 antibody [5B7] used in Western Blot (WB). GTX60593
  • Host
    Mouse
  • Clonality
    Monoclonal
  • Clone Name
    5B7
  • Isotype
    IgG1
  • Applications
    WB IHC-P FCM ELISA
  • Reactivity
    Human, Monkey
See all NCK1 products