NDOR1 antibody [N2C2], Internal

Cat. No. GTX119139
Cat. No.  GTX119139
Anti-NDOR1 antibody [N2C2], Internal used in Western Blot (WB). GTX119139
GTX119139 WB Image

Sample (30 ug of whole cell lysate)
A: Jurkat
7.5% SDS PAGE
GTX119139 diluted at 1:1000

1 / 2
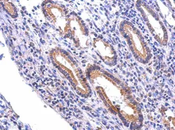
Anti-NDOR1 antibody [N2C2], Internal used in IHC (Paraffin sections) (IHC-P). GTX119139
GTX119139 IHC-P Image

Immunohistochemical analysis of paraffin-embedded human gastric cancer, using NDOR1(GTX119139) antibody at 1:500 dilution.
Antigen Retrieval: Trilogy™ (EDTA based, pH 8.0) buffer, 15min

2 / 2
Anti-NDOR1 antibody [N2C2], Internal used in Western Blot (WB). GTX119139
Anti-NDOR1 antibody [N2C2], Internal used in IHC (Paraffin sections) (IHC-P). GTX119139
  • Host
    Rabbit
  • Clonality
    Polyclonal
  • Isotype
    IgG
  • Applications
    WB IHC-P
  • Reactivity
    Human
See all NDOR1 products