NDUFB10 antibody

Cat. No. GTX33350
Cat. No.  GTX33350
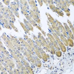
Anti-NDUFB10 antibody used in IHC (Paraffin sections) (IHC-P). GTX33350
GTX33350 IHC-P Image

IHC-P analysis of mouse stomach tissue using GTX33350 NDUFB10 antibody.
Dilution : 1:100

1 / 5
Anti-NDUFB10 antibody used in Immunoprecipitation (IP). GTX33350
GTX33350 IP Image

IP analysis of HeLa cell lysate using GTX33350 NDUFB10 antibody.
Antibody amount : 3μg / 200μg lysate
Dilution : 1:1000

2 / 5
Anti-NDUFB10 antibody used in Western Blot (WB). GTX33350
GTX33350 WB Image

WB analysis of various sample lysates using GTX33350 NDUFB10 antibody.
Dilution : 1:1000
Loading : 25μg per lane

3 / 5
Anti-NDUFB10 antibody used in IHC (Paraffin sections) (IHC-P). GTX33350
GTX33350 IHC-P Image

IHC-P analysis of rat kidney tissue using GTX33350 NDUFB10 antibody.
Dilution : 1:100

4 / 5
Anti-NDUFB10 antibody used in IHC (Paraffin sections) (IHC-P). GTX33350
GTX33350 IHC-P Image

IHC-P analysis of human stomach tissue using GTX33350 NDUFB10 antibody.
Dilution : 1:100

5 / 5
Anti-NDUFB10 antibody used in IHC (Paraffin sections) (IHC-P). GTX33350
Anti-NDUFB10 antibody used in Immunoprecipitation (IP). GTX33350
Anti-NDUFB10 antibody used in Western Blot (WB). GTX33350
Anti-NDUFB10 antibody used in IHC (Paraffin sections) (IHC-P). GTX33350
Anti-NDUFB10 antibody used in IHC (Paraffin sections) (IHC-P). GTX33350
  • Host
    Rabbit
  • Clonality
    Polyclonal
  • Isotype
    IgG
  • Applications
    WB IHC-P IP
  • Reactivity
    Human, Mouse, Rat
See all NDUFB10 products