NDUFB9 antibody

Cat. No. GTX105590
Cat. No.  GTX105590
Anti-NDUFB9 antibody used in Western Blot (WB). GTX105590
GTX105590 WB Image

Sample (50 ug of whole cell lysate)
A: Mouse brain
12% SDS PAGE
GTX105590 diluted at 1:1000

1 / 3
Anti-NDUFB9 antibody used in Western Blot (WB). GTX105590
GTX105590 WB Image

Sample(30 ug whole cell lysate)
A: HeLa S3(GTX14654)
B: Hep G2 (GTX27900)
12% SDS PAGE
GTX105590 diluted at 1:500

2 / 3
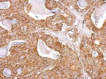
Anti-NDUFB9 antibody used in IHC (Paraffin sections) (IHC-P). GTX105590
GTX105590 IHC-P Image

NDUFB9 antibody detects NDUFB9 protein at cytosol on human gastric cancer by immunohistochemical analysis.
Sample: Paraffin-embedded gastric cancer.
NDUFB9 antibody (GTX105590) dilution: 1:500.

Antigen Retrieval: Trilogy™ (EDTA based, pH 8.0) buffer, 15min

3 / 3
Anti-NDUFB9 antibody used in Western Blot (WB). GTX105590
Anti-NDUFB9 antibody used in Western Blot (WB). GTX105590
Anti-NDUFB9 antibody used in IHC (Paraffin sections) (IHC-P). GTX105590
  • Host
    Rabbit
  • Clonality
    Polyclonal
  • Isotype
    IgG
  • Applications
    WB IHC-P
  • Reactivity
    Human, Mouse
See all NDUFB9 products