NDUFS7 antibody

Cat. No. GTX87977
Cat. No.  GTX87977
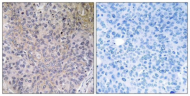
Anti-NDUFS7 antibody used in IHC (Paraffin sections) (IHC-P). GTX87977
GTX87977 IHC-P Image

IHC-P analysis of human lung carcinoma tissue using GTX87977 NDUFS7 antibody. The picture on the right is blocked with the synthesized peptide.

1 / 1
Anti-NDUFS7 antibody used in IHC (Paraffin sections) (IHC-P). GTX87977
  • Host
    Rabbit
  • Clonality
    Polyclonal
  • Isotype
    IgG
  • Applications
    IHC-P
  • Reactivity
    Human
See all NDUFS7 products