NDUFS8 antibody

Cat. No. GTX114119
Cat. No.  GTX114119
Anti-NDUFS8 antibody used in Western Blot (WB). GTX114119
GTX114119 WB Image

Sample (50 ug of whole cell lysate)
A: mouse brain
12% SDS PAGE
GTX114119 diluted at 1:1000

1 / 6
Anti-NDUFS8 antibody used in Western Blot (WB). GTX114119
GTX114119 WB Image

NDUFS8 antibody detects NDUFS8 protein by Western blot analysis.
A. 50 μg rat brain lysate/extract
12 % SDS-PAGE
NDUFS8 antibody (GTX114119) dilution: 1:1000

2 / 6
Anti-NDUFS8 antibody used in IHC (Paraffin sections) (IHC-P). GTX114119
GTX114119 IHC-P Image

NDUFS8 antibody detects NDUFS8 protein at on mouse intestine by immunohistochemical analysis.
Sample: Paraffin-embedded mouse intestine.
NDUFS8 antibody (GTX114119) dilution: 1:500.

Antigen Retrieval: Trilogy™ (EDTA based, pH 8.0) buffer, 15min

3 / 6
Anti-NDUFS8 antibody used in IHC (Paraffin sections) (IHC-P). GTX114119
GTX114119 IHC-P Image

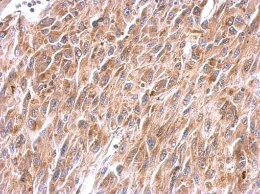
NDUFS8 antibody detects NDUFS8 protein at cytosol on U87 xenograft by immunohistochemical analysis.
Sample: Paraffin-embedded U87 xenograft.
NDUFS8 antibody (GTX114119) dilution: 1:500.

Antigen Retrieval: Trilogy™ (EDTA based, pH 8.0) buffer, 15min

4 / 6
Anti-NDUFS8 antibody used in Western Blot (WB). GTX114119
GTX114119 WB Image

Sample (30 ug of whole cell lysate)
A: Hep G2 (GTX27900)
12% SDS PAGE
NDUFS8 antibody
GTX114119 diluted at 1:1000

5 / 6
Anti-NDUFS8 antibody used in IHC (Paraffin sections) (IHC-P). GTX114119
GTX114119 IHC-P Image

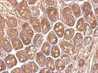
NDUFS8 antibody detects NDUFS8 protein at on mouse stomach by immunohistochemical analysis.
Sample: Paraffin-embedded mouse stomach.
NDUFS8 antibody (GTX114119) dilution: 1:500.

Antigen Retrieval: Trilogy™ (EDTA based, pH 8.0) buffer, 15min

6 / 6
Anti-NDUFS8 antibody used in Western Blot (WB). GTX114119
Anti-NDUFS8 antibody used in Western Blot (WB). GTX114119
Anti-NDUFS8 antibody used in IHC (Paraffin sections) (IHC-P). GTX114119
Anti-NDUFS8 antibody used in IHC (Paraffin sections) (IHC-P). GTX114119
Anti-NDUFS8 antibody used in Western Blot (WB). GTX114119
Anti-NDUFS8 antibody used in IHC (Paraffin sections) (IHC-P). GTX114119
  • Host
    Rabbit
  • Clonality
    Polyclonal
  • Isotype
    IgG
  • Applications
    WB IHC-P
  • Reactivity
    Human, Mouse, Rat
See all NDUFS8 products