NEU2 antibody

Cat. No. GTX05157
Cat. No.  GTX05157
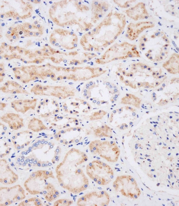
Anti-NEU2 antibody used in IHC (Paraffin sections) (IHC-P). GTX05157
GTX05157 IHC-P Image

IHC-P analysis of human kidney tissue using GTX05157 NEU2 antibody.
Antigen retrieval : Heat mediated antigen retrieval performed with EDTA buffer (pH 9.0).
Dilution : 1:250

1 / 7
Anti-NEU2 antibody used in Western Blot (WB). GTX05157
GTX05157 WB Image

WB analysis of A549 whole cell lysate using GTX05157 NEU2 antibody.
Loading : 35μg

2 / 7
Anti-NEU2 antibody used in Western Blot (WB). GTX05157
GTX05157 WB Image

WB analysis of human heart tissue lysate using GTX05157 NEU2 antibody.
Loading : 20μg
Dilution : 1:2000

3 / 7
Anti-NEU2 antibody used in Western Blot (WB). GTX05157
GTX05157 WB Image

WB analysis of human fetal liver tissue lysate using GTX05157 NEU2 antibody.
Loading : 20μg
Dilution : 1:1000

4 / 7
Anti-NEU2 antibody used in IHC (Paraffin sections) (IHC-P). GTX05157
GTX05157 IHC-P Image

IHC-P analysis of human skeletal muscle tissue using GTX05157 NEU2 antibody.
Antigen retrieval : Heat mediated antigen retrieval performed with EDTA buffer (pH 9.0).
Dilution : 1:250

5 / 7
Anti-NEU2 antibody used in Immunocytochemistry/ Immunofluorescence (ICC/IF). GTX05157
GTX05157 ICC/IF Image

ICC/IF analysis of A549 cells using GTX05157 NEU2 antibody.
Green : Primary antibody
Red : Actin
Blue : DAPI

6 / 7
Anti-NEU2 antibody used in Flow cytometry (FCM). GTX05157
GTX05157 FCM Image

FCM analysis of A549 cells using GTX05157 NEU2 antibody.
Green line : Primary antibody
Blue line : Negative control

7 / 7
Anti-NEU2 antibody used in IHC (Paraffin sections) (IHC-P). GTX05157
Anti-NEU2 antibody used in Western Blot (WB). GTX05157
Anti-NEU2 antibody used in Western Blot (WB). GTX05157
Anti-NEU2 antibody used in Western Blot (WB). GTX05157
Anti-NEU2 antibody used in IHC (Paraffin sections) (IHC-P). GTX05157
Anti-NEU2 antibody used in Immunocytochemistry/ Immunofluorescence (ICC/IF). GTX05157
Anti-NEU2 antibody used in Flow cytometry (FCM). GTX05157
  • Host
    Rabbit
  • Clonality
    Polyclonal
  • Isotype
    IgG
  • Applications
    WB ICC/IF IHC-P FCM
  • Reactivity
    Human
See all NEU2 products