NEU4 antibody

Cat. No. GTX05156
Cat. No.  GTX05156
Anti-NEU4 antibody used in Western Blot (WB). GTX05156
GTX05156 WB Image

WB analysis of various samples using GTX05156 NEU4 antibody.
Lane 1 : Rat heart tissue lysate treated with blocking peptide
Lane 2 : Rat heart tissue lysate
Lane 3 : Mouse hybridoma cells

1 / 5
Anti-NEU4 antibody used in IHC (Paraffin sections) (IHC-P). GTX05156
GTX05156 IHC-P Image

IHC-P analysis of mouse colon tissue using GTX05156 NEU4 antibody.
Antigen retrieval : Heat mediated antigen retrieval performed with citrate buffer.
Dilution : 1:100

2 / 5
Anti-NEU4 antibody used in IHC (Paraffin sections) (IHC-P). GTX05156
GTX05156 IHC-P Image

IHC-P analysis of human mammary cancer tissue using GTX05156 NEU4 antibody.
Antigen retrieval : Heat mediated antigen retrieval performed with citrate buffer.
Dilution : 1:100

3 / 5
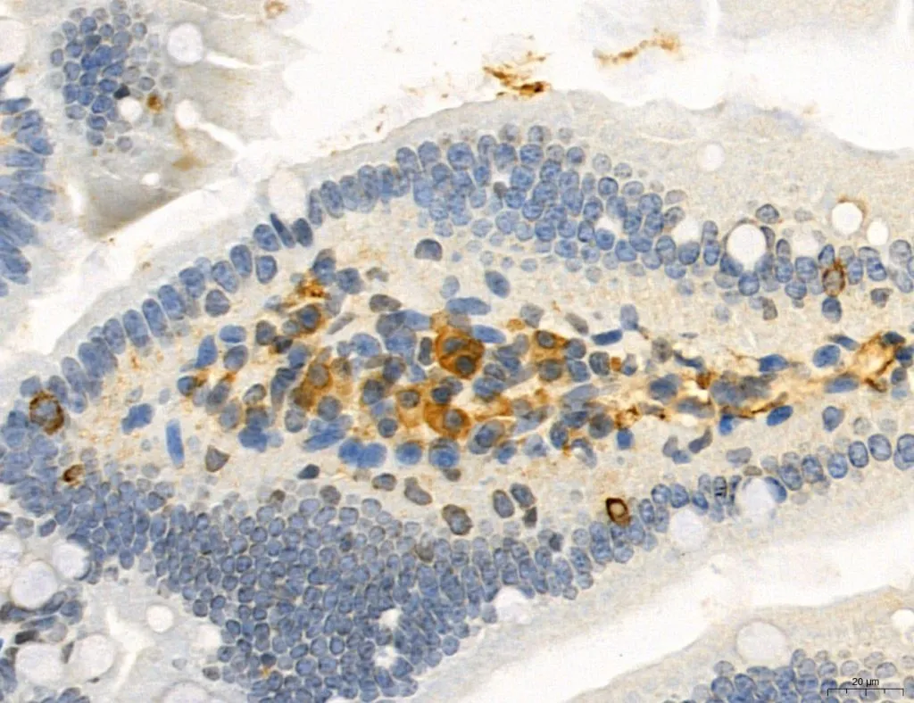
Anti-NEU4 antibody used in IHC (Paraffin sections) (IHC-P). GTX05156
GTX05156 IHC-P Image

IHC-P analysis of rat colon tissue using GTX05156 NEU4 antibody.
Antigen retrieval : Heat mediated antigen retrieval performed with citrate buffer.
Dilution : 1:100

4 / 5
Anti-NEU4 antibody used in IHC (Paraffin sections) (IHC-P). GTX05156
GTX05156 IHC-P Image

IHC-P analysis of mouse kidney tissue using GTX05156 NEU4 antibody.
Antigen retrieval : Heat mediated antigen retrieval performed with citrate buffer.
Dilution : 1:100

5 / 5
Anti-NEU4 antibody used in Western Blot (WB). GTX05156
Anti-NEU4 antibody used in IHC (Paraffin sections) (IHC-P). GTX05156
Anti-NEU4 antibody used in IHC (Paraffin sections) (IHC-P). GTX05156
Anti-NEU4 antibody used in IHC (Paraffin sections) (IHC-P). GTX05156
Anti-NEU4 antibody used in IHC (Paraffin sections) (IHC-P). GTX05156
  • Host
    Rabbit
  • Clonality
    Polyclonal
  • Isotype
    IgG
  • Applications
    WB IHC-P
  • Reactivity
    Human, Mouse, Rat
See all NEU4 products