NF-H antibody

Cat. No. GTX110065
Cat. No.  GTX110065
Anti-NF-H antibody used in IHC (Frozen sections) (IHC-Fr). GTX110065
GTX110065 IHC-Fr Image

NF-H antibody detects NF-H protein expression by immunohistochemical analysis.
Sample: Frozen sectioned E13.5 Rat brain.
Green: NF-H protein stained by NF-H antibody (GTX110065) diluted at 1:250.
Red: beta Tubulin 3/ TUJ1, a mature neuron marker, stained by beta Tubulin 3/ TUJ1 antibody [GT11710] (GTX631836) diluted at 1:500.
Blue: Fluoroshield with DAPI (GTX30920).

1 / 8
Anti-NF-H antibody used in Immunocytochemistry/ Immunofluorescence (ICC/IF). GTX110065
GTX110065 ICC/IF Image

NF-H antibody detects NF-H protein at cytoplasm by immunofluorescent analysis.
Sample: DIV9 rat E18 primary cortical neurons were fixed in 4% paraformaldehyde at RT for 15 min.
Green: NF-H protein stained by NF-H antibody (GTX110065) diluted at 1:500.
Red: beta Tubulin 3/ Tuj1, stained by beta Tubulin 3/ Tuj1 antibody [GT11710] (GTX631836) diluted at 1:500.
Blue: Fluoroshield with DAPI (GTX30920).

2 / 8
Anti-NF-H antibody used in Western Blot (WB). GTX110065
GTX110065 WB Image

Rat tissue extract (50 μg) was separated by 5% SDS-PAGE, and the membrane was blotted with NF-H antibody (GTX110065) diluted at 1:500.

3 / 8
Anti-NF-H antibody used in IHC (Frozen sections) (IHC-Fr). GTX110065
GTX110065 IHC-Fr Image

NF-H antibody detects NF-H protein expression by immunohistochemical analysis.
Sample: Frozen-sectioned adult mouse cerebellum.
Green: NF-H protein stained by NF-H antibody (GTX110065) diluted at 1:250.
Red: beta Tubulin 3/ TUJ1, stained by beta Tubulin 3/ TUJ1 antibody [GT11710] (GTX631836) diluted at 1:500.
Blue: Fluoroshield with DAPI (GTX30920).

4 / 8
Anti-NF-H antibody used in Western Blot (WB). GTX110065
GTX110065 WB Image

Whole cell extract (30 μg) was separated by 5% SDS-PAGE, and the membrane was blotted with NF-H antibody (GTX110065) diluted at 1:500. The HRP-conjugated anti-rabbit IgG antibody (GTX213110-01) was used to detect the primary antibody.

5 / 8
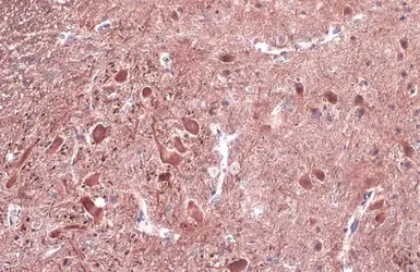
Anti-NF-H antibody used in IHC (Paraffin sections) (IHC-P). GTX110065
GTX110065 IHC-P Image

NF-H antibody detects NF-H protein at cytoplasm by immunohistochemical analysis.
Sample: Paraffin-embedded mouse spinal cord.
NF-H stained by NF-H antibody (GTX110065) diluted at 1:500.
Antigen Retrieval: Citrate buffer, pH 6.0, 15 min

6 / 8
Anti-NF-H antibody used in IHC (Paraffin sections) (IHC-P). GTX110065
GTX110065 IHC-P Image

NF-H antibody detects NF-H protein expression by immunohistochemical analysis.
Sample:Paraffin-Embedded adult mouse retina.
Green: NF-H protein stained by NF-H antibody (GTX110065) diluted at 1:250.
Red: beta Tubulin 3/ TUJ1, stained by beta Tubulin 3/ TUJ1 antibody [GT11710] (GTX631836) diluted at 1:500.
Blue: Fluoroshield with DAPI (GTX30920).

7 / 8
Anti-NF-H antibody used in IHC (Frozen sections) (IHC-Fr). GTX110065
GTX110065 IHC-Fr Image

NF-H antibody detects NF-H protein expression by immunohistochemical analysis.
Sample: Frozen-sectioned adult mouse cerebellum.
Green: NF-H protein stained by NF-H antibody (GTX110065) diluted at 1:250.
Red: beta Tubulin 3/ TUJ1, stained by beta Tubulin 3/ TUJ1 antibody [GT11710] (GTX631836) diluted at 1:500.
Blue: Fluoroshield with DAPI (GTX30920).

8 / 8
Anti-NF-H antibody used in IHC (Frozen sections) (IHC-Fr). GTX110065
Anti-NF-H antibody used in Immunocytochemistry/ Immunofluorescence (ICC/IF). GTX110065
Anti-NF-H antibody used in Western Blot (WB). GTX110065
Anti-NF-H antibody used in IHC (Frozen sections) (IHC-Fr). GTX110065
Anti-NF-H antibody used in Western Blot (WB). GTX110065
Anti-NF-H antibody used in IHC (Paraffin sections) (IHC-P). GTX110065
Anti-NF-H antibody used in IHC (Paraffin sections) (IHC-P). GTX110065
Anti-NF-H antibody used in IHC (Frozen sections) (IHC-Fr). GTX110065
  • Host
    Rabbit
  • Clonality
    Polyclonal
  • Isotype
    IgG
  • Applications
    WB ICC/IF IHC-P IHC-Fr
  • Reactivity
    Human, Mouse, Rat
See all NF-H products