NFkB p65 antibody

Cat. No. GTX50371
Cat. No.  GTX50371
Anti-NFkB p65 antibody used in Western Blot (WB). GTX50371
GTX50371 WB Image

WB analysis of extracts from HeLa cells using GTX50371 NFkB p65 antibody with or without blocking peptide.

1 / 3
Anti-NFkB p65 antibody used in Immunocytochemistry/ Immunofluorescence (ICC/IF). GTX50371
GTX50371 ICC/IF Image

ICC/IF analysis of methanol-fixed HeLa cells using GTX50371 NFkB p65 antibody.

2 / 3
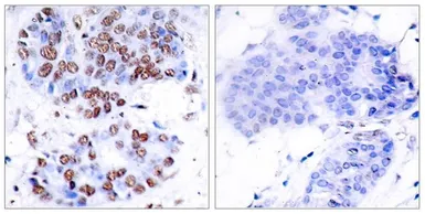
Anti-NFkB p65 antibody used in IHC (Paraffin sections) (IHC-P). GTX50371
GTX50371 IHC-P Image

IHC-P analysis of human breast carcinoma tissue using GTX50371 NFkB p65 antibody.
Left : Primary antibody
Right : Primary antibody pre-incubated with the antigen specific peptide

3 / 3
Anti-NFkB p65 antibody used in Western Blot (WB). GTX50371
Anti-NFkB p65 antibody used in Immunocytochemistry/ Immunofluorescence (ICC/IF). GTX50371
Anti-NFkB p65 antibody used in IHC (Paraffin sections) (IHC-P). GTX50371
  • Host
    Rabbit
  • Clonality
    Polyclonal
  • Isotype
    IgG
  • Applications
    WB ICC/IF IHC-P
  • Reactivity
    Human, Mouse
See all NFkB p65 products