NFkB p65 (phospho Ser529) antibody

Cat. No. GTX55128
Cat. No.  GTX55128
Anti-NFkB p65 (phospho Ser529) antibody used in Western Blot (WB). GTX55128
GTX55128 WB Image

WB analysis of UV-treated MCF7 (A), TNFa-treated Raw264.7 (B), rat liver (C), rat kidney (D) whole cell lysates using GTX55128 NFkB p65 (phospho Ser529) antibody.

1 / 2
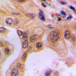
Anti-NFkB p65 (phospho Ser529) antibody used in IHC (Paraffin sections) (IHC-P). GTX55128
GTX55128 IHC-P Image

IHC-P analysis of formalin fixed human lung cancer tissue section using GTX55128 NFkB p65 (phospho Ser529) antibody.
Antigen retrieval : Heat mediated antigen retrieval with sodium citrate buffer (pH 6.0)

2 / 2
Anti-NFkB p65 (phospho Ser529) antibody used in Western Blot (WB). GTX55128
Anti-NFkB p65 (phospho Ser529) antibody used in IHC (Paraffin sections) (IHC-P). GTX55128
  • Host
    Rabbit
  • Clonality
    Polyclonal
  • Isotype
    IgG
  • Applications
    WB IHC-P
  • Reactivity
    Human, Mouse, Rat
See all NFkB p65 products