NFkB p65 (phospho Thr435) antibody

Cat. No. GTX54983
Cat. No.  GTX54983
Anti-NFkB p65 (phospho Thr435) antibody used in Western Blot (WB). GTX54983
GTX54983 WB Image

WB analysis of TNFa-treated Jurkat (A), TNFa-treated HepG2 (B) whole cell lysates using GTX54983 NFkB p65 (phospho Thr435) antibody.

1 / 3
Anti-NFkB p65 (phospho Thr435) antibody used in Immunocytochemistry/ Immunofluorescence (ICC/IF). GTX54983
GTX54983 ICC/IF Image

ICC/IF analysis of formalin-fixed K562 cells using GTX54983 NFkB p65 (phospho Thr435) antibody.
Red : Primary antibody
Blue : DAPI
Permeabilization : 0.1% Triton X-100 in TBS for 5-10 minutes

2 / 3
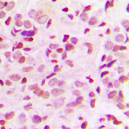
Anti-NFkB p65 (phospho Thr435) antibody used in IHC (Paraffin sections) (IHC-P). GTX54983
GTX54983 IHC-P Image

IHC-P analysis of formalin fixed human breast cancer tissue section using GTX54983 NFkB p65 (phospho Thr435) antibody.
Antigen retrieval : Heat mediated antigen retrieval with sodium citrate buffer (pH 6.0)

3 / 3
Anti-NFkB p65 (phospho Thr435) antibody used in Western Blot (WB). GTX54983
Anti-NFkB p65 (phospho Thr435) antibody used in Immunocytochemistry/ Immunofluorescence (ICC/IF). GTX54983
Anti-NFkB p65 (phospho Thr435) antibody used in IHC (Paraffin sections) (IHC-P). GTX54983
  • Host
    Rabbit
  • Clonality
    Polyclonal
  • Isotype
    IgG
  • Applications
    WB ICC/IF IHC-P
  • Reactivity
    Human
See all NFkB p65 products