NFkB p65 (phospho Thr505) antibody

Cat. No. GTX50219
Cat. No.  GTX50219
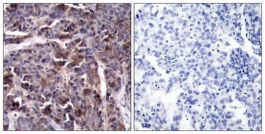
Anti-NFkB p65 (phospho Thr505) antibody used in IHC (Paraffin sections) (IHC-P). GTX50219
GTX50219 IHC-P Image

IHC-P analysis of human breast carcinoma tissue using GTX50219 NFkB p65 (phospho Thr505) antibody.
Left : Primary antibody
Right : Primary antibody pre-incubated with the antigen specific peptide

1 / 2
Anti-NFkB p65 (phospho Thr505) antibody used in Western Blot (WB). GTX50219
GTX50219 WB Image

WB analysis of extracts from HL-60 cells untreated or treated with TNF-a using GTX50219 NFkB p65 (phospho Thr505) antibody.

2 / 2
Anti-NFkB p65 (phospho Thr505) antibody used in IHC (Paraffin sections) (IHC-P). GTX50219
Anti-NFkB p65 (phospho Thr505) antibody used in Western Blot (WB). GTX50219
  • Host
    Rabbit
  • Clonality
    Polyclonal
  • Isotype
    IgG
  • Applications
    WB IHC-P
  • Reactivity
    Human
See all NFkB p65 products