NIS antibody

Cat. No. GTX37599
Cat. No.  GTX37599
Anti-NIS antibody used in Western Blot (WB). GTX37599
GTX37599 WB Image

WB analysis of rat brain (Lane 1) and rat kidney (Lane 2) tissue lysates using GTX37599 NIS antibody.
Dilution : 1:200

1 / 5
Anti-NIS antibody used in IHC (Paraffin sections) (IHC-P). GTX37599
GTX37599 IHC-P Image

IHC-P analysis of rat brain tissue using GTX37599 NIS antibody.
Dilution : 1:200

2 / 5
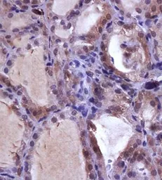
Anti-NIS antibody used in IHC (Paraffin sections) (IHC-P). GTX37599
GTX37599 IHC-P Image

IHC-P analysis of rat thyroid gland tissue using GTX37599 NIS antibody.

3 / 5
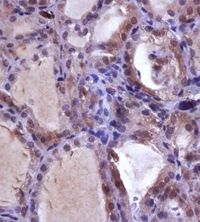
Anti-NIS antibody used in IHC (Paraffin sections) (IHC-P). GTX37599
GTX37599 IHC-P Image

IHC-P analysis of rat thyroid gland tissue using GTX37599 NIS antibody.

4 / 5
Anti-NIS antibody used in IHC (Frozen sections) (IHC-Fr). GTX37599
GTX37599 IHC-Fr Image

IHC-Fr analysis of human thyroid tissue using GTX37599 NIS antibody.
Dilution : 1:200

5 / 5
Anti-NIS antibody used in Western Blot (WB). GTX37599
Anti-NIS antibody used in IHC (Paraffin sections) (IHC-P). GTX37599
Anti-NIS antibody used in IHC (Paraffin sections) (IHC-P). GTX37599
Anti-NIS antibody used in IHC (Paraffin sections) (IHC-P). GTX37599
Anti-NIS antibody used in IHC (Frozen sections) (IHC-Fr). GTX37599
  • Host
    Rabbit
  • Clonality
    Polyclonal
  • Isotype
    IgG
  • Applications
    WB IHC-P IHC-Fr IHC
  • Reactivity
    Human, Rat
See all NIS products