NKp46 antibody

Cat. No. GTX05036
Cat. No.  GTX05036
Anti-NKp46 antibody used in Western Blot (WB). GTX05036
GTX05036 WB Image

WB analysis of various samples using GTX05036 NKp46 antibody.
Lane 1 : Rat spleen tissue lysate
Lane 2 : Mouse spleen tissue lysate
Dilution : 0.5 μg/mL
Loading : 50μg

1 / 5
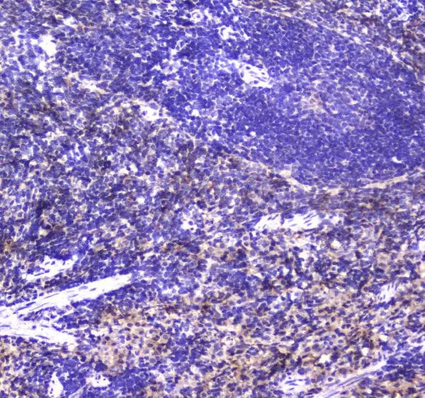
Anti-NKp46 antibody used in IHC (Paraffin sections) (IHC-P). GTX05036
GTX05036 IHC-P Image

IHC-P analysis of human tonsil tissue using GTX05036 NKp46 antibody.
Antigen retrieval : Heat mediated antigen retrieval performed with EDTA buffer (pH 8.0)
Dilution : 1 μg/ml

2 / 5
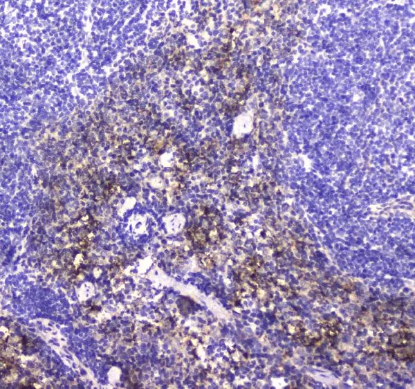
Anti-NKp46 antibody used in IHC (Paraffin sections) (IHC-P). GTX05036
GTX05036 IHC-P Image

IHC-P analysis of rat spleen tissue using GTX05036 NKp46 antibody.
Antigen retrieval : Heat mediated antigen retrieval performed with citrate buffer (pH 6.0)
Dilution : 1 μg/ml

3 / 5
Anti-NKp46 antibody used in IHC (Paraffin sections) (IHC-P). GTX05036
GTX05036 IHC-P Image

IHC-P analysis of mouse lung tissue using GTX05036 NKp46 antibody.
Antigen retrieval : Heat mediated antigen retrieval performed with citrate buffer (pH 6.0)
Dilution : 1 μg/ml

4 / 5
Anti-NKp46 antibody used in IHC (Paraffin sections) (IHC-P). GTX05036
GTX05036 IHC-P Image

IHC-P analysis of mouse spleen tissue using GTX05036 NKp46 antibody.
Antigen retrieval : Heat mediated antigen retrieval performed with citrate buffer (pH 6.0)
Dilution : 1 μg/ml

5 / 5
Anti-NKp46 antibody used in Western Blot (WB). GTX05036
Anti-NKp46 antibody used in IHC (Paraffin sections) (IHC-P). GTX05036
Anti-NKp46 antibody used in IHC (Paraffin sections) (IHC-P). GTX05036
Anti-NKp46 antibody used in IHC (Paraffin sections) (IHC-P). GTX05036
Anti-NKp46 antibody used in IHC (Paraffin sections) (IHC-P). GTX05036
  • Host
    Rabbit
  • Clonality
    Polyclonal
  • Isotype
    IgG
  • Applications
    WB IHC-P ELISA
  • Reactivity
    Human, Mouse, Rat
See all NKp46 products