NME4 antibody [5E4]

Cat. No. GTX84028
Cat. No.  GTX84028
Anti-NME4 antibody [5E4] used in Immunocytochemistry/ Immunofluorescence (ICC/IF). GTX84028
GTX84028 ICC/IF Image

ICC/IF analysis of COS7 cells transiently transfected with NME4 plasmid using GTX84028 NME4 antibody [5E4].

1 / 8
Anti-NME4 antibody [5E4] used in IHC (Paraffin sections) (IHC-P). GTX84028
GTX84028 IHC-P Image

IHC-P analysis of colon adenocarcinoma tissue using GTX84028 NME4 antibody [5E4].
Antigen retrieval : Heat-induced epitope retrieval by 10mM citrate buffer, pH6.0, 100ºC for 10min.
Dilution : 1:50

2 / 8
Anti-NME4 antibody [5E4] used in IHC (Paraffin sections) (IHC-P). GTX84028
GTX84028 IHC-P Image

IHC-P analysis of liver tissue using GTX84028 NME4 antibody [5E4].
Antigen retrieval : Heat-induced epitope retrieval by 10mM citrate buffer, pH6.0, 100ºC for 10min.
Dilution : 1:50

3 / 8
Anti-NME4 antibody [5E4] used in Flow cytometry (FCM). GTX84028
GTX84028 FCM Image

FACS analysis of HEK293T cells transfected with either NME4 plasmid(Red) or empty vector control plasmid(Blue) using GTX84028 NME4 antibody [5E4].

4 / 8
Anti-NME4 antibody [5E4] used in Western Blot (WB). GTX84028
GTX84028 WB Image

WB analysis of various cell lines using GTX84028 NME4 antibody [5E4].
Loading : 35 ug per lane
Dilution : 1:200

5 / 8
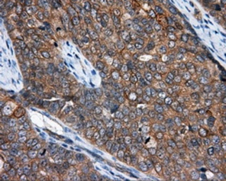
Anti-NME4 antibody [5E4] used in IHC (Paraffin sections) (IHC-P). GTX84028
GTX84028 IHC-P Image

IHC-P analysis of human ovary adenocarcinoma tissue using GTX84028 NME4 antibody [5E4].
Antigen retrieval : Heat-induced epitope retrieval by 10mM citrate buffer, pH6.0, 100ºC for 10min.
Dilution : 1:50

6 / 8
Anti-NME4 antibody [5E4] used in Western Blot (WB). GTX84028
GTX84028 WB Image

WB analysis of HEK293T cells transfected with NME4 plasmid (Right) or empty vector (Left) for 48 hrs using GTX84028 NME4 antibody [5E4].
Loading : 5 ug per lane

7 / 8
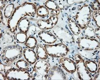
Anti-NME4 antibody [5E4] used in IHC (Paraffin sections) (IHC-P). GTX84028
GTX84028 IHC-P Image

IHC-P analysis of kidney tissue using GTX84028 NME4 antibody [5E4].
Antigen retrieval : Heat-induced epitope retrieval by 10mM citrate buffer, pH6.0, 100ºC for 10min.
Dilution : 1:50

8 / 8
Anti-NME4 antibody [5E4] used in Immunocytochemistry/ Immunofluorescence (ICC/IF). GTX84028
Anti-NME4 antibody [5E4] used in IHC (Paraffin sections) (IHC-P). GTX84028
Anti-NME4 antibody [5E4] used in IHC (Paraffin sections) (IHC-P). GTX84028
Anti-NME4 antibody [5E4] used in Flow cytometry (FCM). GTX84028
Anti-NME4 antibody [5E4] used in Western Blot (WB). GTX84028
Anti-NME4 antibody [5E4] used in IHC (Paraffin sections) (IHC-P). GTX84028
Anti-NME4 antibody [5E4] used in Western Blot (WB). GTX84028
Anti-NME4 antibody [5E4] used in IHC (Paraffin sections) (IHC-P). GTX84028
  • Host
    Mouse
  • Clonality
    Monoclonal
  • Clone Name
    5E4
  • Isotype
    IgG1
  • Applications
    WB ICC/IF IHC-P FCM
  • Reactivity
    Human
See all NME4 products