NNT antibody

Cat. No. GTX103015
Cat. No.  GTX103015
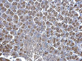
Anti-NNT antibody used in IHC (Paraffin sections) (IHC-P). GTX103015
GTX103015 IHC-P Image

NNT antibody detects NNT protein at cytosol on mouse stomach by immunohistochemical analysis.
Sample: Paraffin-embedded mouse stomach.
NNT antibody (GTX103015) dilution: 1:500.

Antigen Retrieval: Trilogy™ (EDTA based, pH 8.0) buffer, 15min

1 / 7
Anti-NNT antibody used in Western Blot (WB). GTX103015
GTX103015 WB Image

Non-transfected (–) and transfected (+) 293T whole cell extracts (30 μg) were separated by 7.5% SDS-PAGE, and the membrane was blotted with NNT antibody (GTX103015) diluted at 1:500. The HRP-conjugated anti-rabbit IgG antibody (GTX213110-01) was used to detect the primary antibody.

2 / 7
Anti-NNT antibody used in IHC (Paraffin sections) (IHC-P). GTX103015
GTX103015 IHC-P Image

Immunohistochemical analysis of paraffin-embedded SW480 xenograft, using NNT(GTX103015) antibody at 1:100 dilution.
Antigen Retrieval: Trilogy™ (EDTA based, pH 8.0) buffer, 15min

3 / 7
Anti-NNT antibody used in IHC (Paraffin sections) (IHC-P). GTX103015
GTX103015 IHC-P Image

NNT antibody detects NNT protein at cytosol on mouse kidney by immunohistochemical analysis.
Sample: Paraffin-embedded mouse kidney.
NNT antibody (GTX103015) dilution: 1:500.

Antigen Retrieval: Trilogy™ (EDTA based, pH 8.0) buffer, 15min

4 / 7
Anti-NNT antibody used in Western Blot (WB). GTX103015
GTX103015 WB Image

Various whole cell extracts (30 μg) were separated by 5% SDS-PAGE, and the membrane was blotted with NNT antibody (GTX103015) diluted at 1:1000. The HRP-conjugated anti-rabbit IgG antibody (GTX213110-01) was used to detect the primary antibody.

5 / 7
Anti-NNT antibody used in Western Blot (WB). GTX103015
GTX103015 WB Image

Rat tissue extract (50 μg) was separated by 7.5% SDS-PAGE, and the membrane was blotted with NNT antibody (GTX103015) diluted at 1:1000. The HRP-conjugated anti-rabbit IgG antibody (GTX213110-01) was used to detect the primary antibody.

6 / 7
Anti-NNT antibody used in Immunocytochemistry/ Immunofluorescence (ICC/IF). GTX103015
GTX103015 ICC/IF Image

NNT antibody detects NNT protein at mitochondria by immunofluorescent analysis.
Sample: HeLa cells were fixed in ice-cold MeOH for 5 min.
Green: NNT stained by NNT antibody (GTX103015) diluted at 1:500.

7 / 7
Anti-NNT antibody used in IHC (Paraffin sections) (IHC-P). GTX103015
Anti-NNT antibody used in Western Blot (WB). GTX103015
Anti-NNT antibody used in IHC (Paraffin sections) (IHC-P). GTX103015
Anti-NNT antibody used in IHC (Paraffin sections) (IHC-P). GTX103015
Anti-NNT antibody used in Western Blot (WB). GTX103015
Anti-NNT antibody used in Western Blot (WB). GTX103015
Anti-NNT antibody used in Immunocytochemistry/ Immunofluorescence (ICC/IF). GTX103015
  • Host
    Rabbit
  • Clonality
    Polyclonal
  • Isotype
    IgG
  • Applications
    WB ICC/IF IHC-P
  • Reactivity
    Human, Mouse, Rat
See all NNT products