NOTCH1 antibody [3E12]

Cat. No. GTX84019
Cat. No.  GTX84019
Anti-NOTCH1 antibody [3E12] used in Immunocytochemistry/ Immunofluorescence (ICC/IF). GTX84019
GTX84019 ICC/IF Image

ICC/IF analysis of HT29 cells using GTX84019 NOTCH1 antibody [3E12].

1 / 19
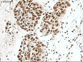
Anti-NOTCH1 antibody [3E12] used in IHC (Paraffin sections) (IHC-P). GTX84019
GTX84019 IHC-P Image

IHC-P analysis of pancreas tissue using GTX84019 NOTCH1 antibody [3E12].
Antigen retrieval : Heat-induced epitope retrieval by 10mM citrate buffer, pH6.0, 100ºC for 10min.

2 / 19
Anti-NOTCH1 antibody [3E12] used in IHC (Paraffin sections) (IHC-P). GTX84019
GTX84019 IHC-P Image

IHC-P analysis of thyroid carcinoma tissue using GTX84019 NOTCH1 antibody [3E12].
Antigen retrieval : Heat-induced epitope retrieval by 10mM citrate buffer, pH6.0, 100ºC for 10min.

3 / 19
Anti-NOTCH1 antibody [3E12] used in IHC (Paraffin sections) (IHC-P). GTX84019
GTX84019 IHC-P Image

IHC-P analysis of colon tissue using GTX84019 NOTCH1 antibody [3E12].
Antigen retrieval : Heat-induced epitope retrieval by 10mM citrate buffer, pH6.0, 100ºC for 10min.

4 / 19
Anti-NOTCH1 antibody [3E12] used in IHC (Paraffin sections) (IHC-P). GTX84019
GTX84019 IHC-P Image

IHC-P analysis of lung tissue using GTX84019 NOTCH1 antibody [3E12].
Antigen retrieval : Heat-induced epitope retrieval by 10mM citrate buffer, pH6.0, 100ºC for 10min.

5 / 19
Anti-NOTCH1 antibody [3E12] used in Immunocytochemistry/ Immunofluorescence (ICC/IF). GTX84019
GTX84019 ICC/IF Image

ICC/IF analysis of HeLa cells transiently transfected with NOTCH1 plasmid using GTX84019 NOTCH1 antibody [3E12].

6 / 19
Anti-NOTCH1 antibody [3E12] used in Immunocytochemistry/ Immunofluorescence (ICC/IF). GTX84019
GTX84019 ICC/IF Image

ICC/IF analysis of HepG2 cells using GTX84019 NOTCH1 antibody [3E12].

7 / 19
Anti-NOTCH1 antibody [3E12] used in IHC (Paraffin sections) (IHC-P). GTX84019
GTX84019 IHC-P Image

IHC-P analysis of lung carcinoma tissue using GTX84019 NOTCH1 antibody [3E12].
Antigen retrieval : Heat-induced epitope retrieval by 10mM citrate buffer, pH6.0, 100ºC for 10min.

8 / 19
Anti-NOTCH1 antibody [3E12] used in IHC (Paraffin sections) (IHC-P). GTX84019
GTX84019 IHC-P Image

IHC-P analysis of thyroid tissue using GTX84019 NOTCH1 antibody [3E12].
Antigen retrieval : Heat-induced epitope retrieval by 10mM citrate buffer, pH6.0, 100ºC for 10min.

9 / 19
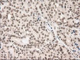
Anti-NOTCH1 antibody [3E12] used in IHC (Paraffin sections) (IHC-P). GTX84019
GTX84019 IHC-P Image

IHC-P analysis of pancreas carcinoma tissue using GTX84019 NOTCH1 antibody [3E12].
Antigen retrieval : Heat-induced epitope retrieval by 10mM citrate buffer, pH6.0, 100ºC for 10min.

10 / 19
Anti-NOTCH1 antibody [3E12] used in IHC (Paraffin sections) (IHC-P). GTX84019
GTX84019 IHC-P Image

IHC-P analysis of breast adenocarcinoma tissue using GTX84019 NOTCH1 antibody [3E12].
Antigen retrieval : Heat-induced epitope retrieval by 10mM citrate buffer, pH6.0, 100ºC for 10min.

11 / 19
Anti-NOTCH1 antibody [3E12] used in IHC (Paraffin sections) (IHC-P). GTX84019
GTX84019 IHC-P Image

IHC-P analysis of endometrium tissue using GTX84019 NOTCH1 antibody [3E12].
Antigen retrieval : Heat-induced epitope retrieval by 10mM citrate buffer, pH6.0, 100ºC for 10min.

12 / 19
Anti-NOTCH1 antibody [3E12] used in IHC (Paraffin sections) (IHC-P). GTX84019
GTX84019 IHC-P Image

IHC-P analysis of kidney carcinoma tissue using GTX84019 NOTCH1 antibody [3E12].
Antigen retrieval : Heat-induced epitope retrieval by 10mM citrate buffer, pH6.0, 100ºC for 10min.

13 / 19
Anti-NOTCH1 antibody [3E12] used in IHC (Paraffin sections) (IHC-P). GTX84019
GTX84019 IHC-P Image

IHC-P analysis of kidney tissue using GTX84019 NOTCH1 antibody [3E12].
Antigen retrieval : Heat-induced epitope retrieval by 10mM citrate buffer, pH6.0, 100ºC for 10min.

14 / 19
Anti-NOTCH1 antibody [3E12] used in Western Blot (WB). GTX84019
GTX84019 WB Image

WB analysis of HEK293T cells transfected with NOTCH1 plasmid (Right) or empty vector (Left) for 48 hrs using GTX84019 NOTCH1 antibody [3E12].
Loading : 5 ug per lane

15 / 19
Anti-NOTCH1 antibody [3E12] used in Western Blot (WB). GTX84019
GTX84019 WB Image

WB analysis of wild type and NOTCH1 knock out HeLa cell lysate(10μg per lane) using GTX84019 NOTCH1 antibody [3E12].
Dilution : 1:500

16 / 19
Anti-NOTCH1 antibody [3E12] used in IHC (Paraffin sections) (IHC-P). GTX84019
GTX84019 IHC-P Image

IHC-P analysis of human ovary adenocarcinoma tissue using GTX84019 NOTCH1 antibody [3E12].
Antigen retrieval : Heat-induced epitope retrieval by 10mM citrate buffer, pH6.0, 100ºC for 10min.

17 / 19
Anti-NOTCH1 antibody [3E12] used in IHC (Paraffin sections) (IHC-P). GTX84019
GTX84019 IHC-P Image

IHC-P analysis of colon adenocarcinoma tissue using GTX84019 NOTCH1 antibody [3E12].
Antigen retrieval : Heat-induced epitope retrieval by 10mM citrate buffer, pH6.0, 100ºC for 10min.

18 / 19
Anti-NOTCH1 antibody [3E12] used in IHC (Paraffin sections) (IHC-P). GTX84019
GTX84019 IHC-P Image

IHC-P analysis of breast tissue using GTX84019 NOTCH1 antibody [3E12].
Antigen retrieval : Heat-induced epitope retrieval by 10mM citrate buffer, pH6.0, 100ºC for 10min.

19 / 19
Anti-NOTCH1 antibody [3E12] used in Immunocytochemistry/ Immunofluorescence (ICC/IF). GTX84019
Anti-NOTCH1 antibody [3E12] used in IHC (Paraffin sections) (IHC-P). GTX84019
Anti-NOTCH1 antibody [3E12] used in IHC (Paraffin sections) (IHC-P). GTX84019
Anti-NOTCH1 antibody [3E12] used in IHC (Paraffin sections) (IHC-P). GTX84019
Anti-NOTCH1 antibody [3E12] used in IHC (Paraffin sections) (IHC-P). GTX84019
Anti-NOTCH1 antibody [3E12] used in Immunocytochemistry/ Immunofluorescence (ICC/IF). GTX84019
Anti-NOTCH1 antibody [3E12] used in Immunocytochemistry/ Immunofluorescence (ICC/IF). GTX84019
Anti-NOTCH1 antibody [3E12] used in IHC (Paraffin sections) (IHC-P). GTX84019
Anti-NOTCH1 antibody [3E12] used in IHC (Paraffin sections) (IHC-P). GTX84019
Anti-NOTCH1 antibody [3E12] used in IHC (Paraffin sections) (IHC-P). GTX84019
Anti-NOTCH1 antibody [3E12] used in IHC (Paraffin sections) (IHC-P). GTX84019
Anti-NOTCH1 antibody [3E12] used in IHC (Paraffin sections) (IHC-P). GTX84019
Anti-NOTCH1 antibody [3E12] used in IHC (Paraffin sections) (IHC-P). GTX84019
Anti-NOTCH1 antibody [3E12] used in IHC (Paraffin sections) (IHC-P). GTX84019
Anti-NOTCH1 antibody [3E12] used in Western Blot (WB). GTX84019
Anti-NOTCH1 antibody [3E12] used in Western Blot (WB). GTX84019
Anti-NOTCH1 antibody [3E12] used in IHC (Paraffin sections) (IHC-P). GTX84019
Anti-NOTCH1 antibody [3E12] used in IHC (Paraffin sections) (IHC-P). GTX84019
Anti-NOTCH1 antibody [3E12] used in IHC (Paraffin sections) (IHC-P). GTX84019
  • Host
    Mouse
  • Clonality
    Monoclonal
  • Clone Name
    3E12
  • Isotype
    IgG2b
  • Applications
    WB ICC/IF IHC-P
  • Reactivity
    Human
See all NOTCH1 products