NOX3 antibody

Cat. No. GTX87223
Cat. No.  GTX87223
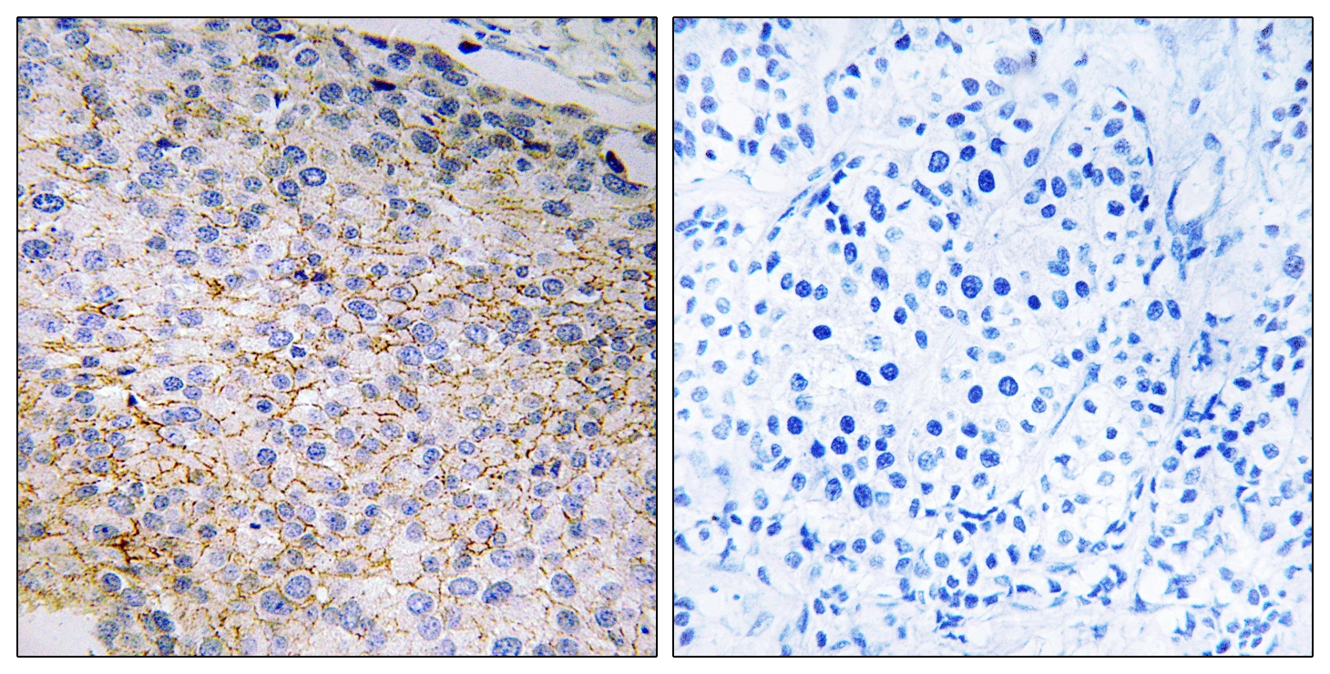
Anti-NOX3 antibody used in IHC (Paraffin sections) (IHC-P). GTX87223
GTX87223 IHC-P Image

IHC-P analysis of human breast carcinoma tissue using GTX87223 NOX3 antibody. The picture on the right is blocked with the synthesized peptide.

1 / 1
Anti-NOX3 antibody used in IHC (Paraffin sections) (IHC-P). GTX87223
  • Host
    Rabbit
  • Clonality
    Polyclonal
  • Isotype
    IgG
  • Applications
    IHC-P
  • Reactivity
    Human
See all NOX3 products