NP2 antibody [N3C3]

Cat. No. GTX114590
Cat. No.  GTX114590
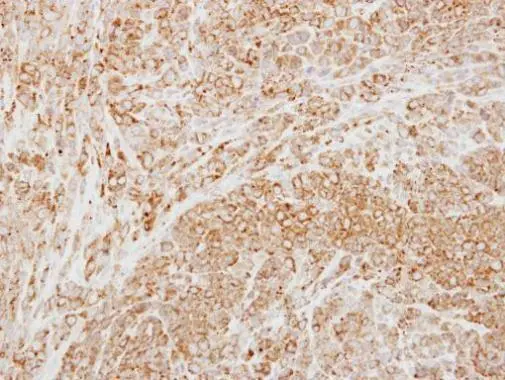
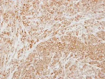
Anti-NP2 antibody [N3C3] used in IHC (Paraffin sections) (IHC-P). GTX114590
GTX114590 IHC-P Image

Immunohistochemical analysis of paraffin-embedded SCM1 xenograft, using NP2(GTX114590) antibody at 1:250 dilution.
Antigen Retrieval: Trilogy™ (EDTA based, pH 8.0) buffer, 15min

1 / 2
Anti-NP2 antibody [N3C3] used in Western Blot (WB). GTX114590
GTX114590 WB Image

Sample (30 ug of whole cell lysate)
A: JurKat
10% SDS PAGE
GTX114590 diluted at 1:1000

2 / 2
Anti-NP2 antibody [N3C3] used in IHC (Paraffin sections) (IHC-P). GTX114590
Anti-NP2 antibody [N3C3] used in Western Blot (WB). GTX114590
  • Host
    Rabbit
  • Clonality
    Polyclonal
  • Isotype
    IgG
  • Applications
    WB IHC-P
  • Reactivity
    Human
See all NP2 products