NPC2 antibody [N1C3]

Cat. No. GTX109217
Cat. No.  GTX109217
Anti-NPC2 antibody [N1C3] used in Western Blot (WB). GTX109217
GTX109217 WB Image

Sample (30 ug of whole cell lysate)
A: HeLa
15% SDS PAGE
GTX109217 diluted at 1:1000

1 / 2
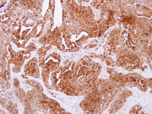
Anti-NPC2 antibody [N1C3] used in IHC (Paraffin sections) (IHC-P). GTX109217
GTX109217 IHC-P Image

NPC2 antibody [N1C3] detects NPC2 protein at cytoplasm on human lung carcinoma by immunohistochemical analysis.
Sample: Paraffin-embedded lung carcinoma.
NPC2 antibody [N1C3] (GTX109217) dilution: 1:250.

Antigen Retrieval: Trilogy™ (EDTA based, pH 8.0) buffer, 15min

2 / 2
Anti-NPC2 antibody [N1C3] used in Western Blot (WB). GTX109217
Anti-NPC2 antibody [N1C3] used in IHC (Paraffin sections) (IHC-P). GTX109217
  • Host
    Rabbit
  • Clonality
    Polyclonal
  • Isotype
    IgG
  • Applications
    WB IHC-P
  • Reactivity
    Human
See all NPC2 products