NUDC (phospho Ser326) antibody

Cat. No. GTX55448
Cat. No.  GTX55448
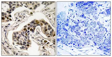
Anti-NUDC (phospho Ser326) antibody used in IHC (Paraffin sections) (IHC-P). GTX55448
GTX55448 IHC-P Image

IHC-P analysis of human breast carcinoma tissue using GTX55448 NUDC (phospho Ser326) antibody.
Left : Primary antibody
Right : Primary antibody pre-incubated with the antigen specific peptide

1 / 3
Anti-NUDC (phospho Ser326) antibody used in Western Blot (WB). GTX55448
GTX55448 WB Image

WB analysis of extracts from rat brain tissue using GTX55448 NUDC (phospho Ser326) antibody.
Left : Primary antibody
Right : Primary antibody pre-incubated with the antigen specific peptide

2 / 3
Anti-NUDC (phospho Ser326) antibody used in Western Blot (WB). GTX55448
GTX55448 WB Image

WB analysis of extracts from HepG2 cells (lane 2) using GTX55448 NUDC (phospho Ser326) antibody.
Left : Primary antibody pre-incubated with the antigen specific peptide
Right : Primary antibody

3 / 3
Anti-NUDC (phospho Ser326) antibody used in IHC (Paraffin sections) (IHC-P). GTX55448
Anti-NUDC (phospho Ser326) antibody used in Western Blot (WB). GTX55448
Anti-NUDC (phospho Ser326) antibody used in Western Blot (WB). GTX55448
  • Host
    Rabbit
  • Clonality
    Polyclonal
  • Isotype
    IgG
  • Applications
    WB IHC-P
  • Reactivity
    Human, Rat
See all NUDC products