Neurotrophin 4 antibody [2E8]

Cat. No. GTX83981
Cat. No.  GTX83981
Anti-Neurotrophin 4 antibody [2E8] used in IHC (Paraffin sections) (IHC-P). GTX83981
GTX83981 IHC-P Image

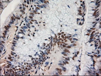
IHC-P analysis of human colon tissue using GTX83981 Neurotrophin 4 antibody [2E8].
Antigen retrieval : Heat-induced epitope retrieval by 10mM citrate buffer, pH6.0, 100ºC for 10min.

1 / 15
Anti-Neurotrophin 4 antibody [2E8] used in IHC (Paraffin sections) (IHC-P). GTX83981
GTX83981 IHC-P Image

IHC-P analysis of human liver tissue using GTX83981 Neurotrophin 4 antibody [2E8].
Antigen retrieval : Heat-induced epitope retrieval by 10mM citrate buffer, pH6.0, 100ºC for 10min.

2 / 15
Anti-Neurotrophin 4 antibody [2E8] used in Immunocytochemistry/ Immunofluorescence (ICC/IF). GTX83981
GTX83981 ICC/IF Image

ICC/IF analysis of A549 cells using GTX83981 Neurotrophin 4 antibody [2E8].

3 / 15
Anti-Neurotrophin 4 antibody [2E8] used in IHC (Paraffin sections) (IHC-P). GTX83981
GTX83981 IHC-P Image

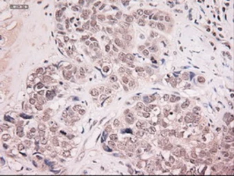
IHC-P analysis of human liver carcinoma tissue using GTX83981 Neurotrophin 4 antibody [2E8].
Antigen retrieval : Heat-induced epitope retrieval by 10mM citrate buffer, pH6.0, 100ºC for 10min.

4 / 15
Anti-Neurotrophin 4 antibody [2E8] used in IHC (Paraffin sections) (IHC-P). GTX83981
GTX83981 IHC-P Image

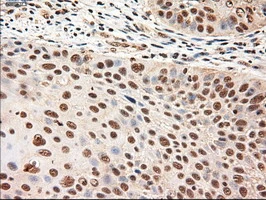
IHC-P analysis of human lung carcinoma tissue using GTX83981 Neurotrophin 4 antibody [2E8].
Antigen retrieval : Heat-induced epitope retrieval by 10mM citrate buffer, pH6.0, 100ºC for 10min.

5 / 15
Anti-Neurotrophin 4 antibody [2E8] used in IHC (Paraffin sections) (IHC-P). GTX83981
GTX83981 IHC-P Image

IHC-P analysis of human pancreas carcinoma tissue using GTX83981 Neurotrophin 4 antibody [2E8].
Antigen retrieval : Heat-induced epitope retrieval by 10mM citrate buffer, pH6.0, 100ºC for 10min.

6 / 15
Anti-Neurotrophin 4 antibody [2E8] used in IHC (Paraffin sections) (IHC-P). GTX83981
GTX83981 IHC-P Image

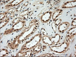
IHC-P analysis of human kidney tissue using GTX83981 Neurotrophin 4 antibody [2E8].
Antigen retrieval : Heat-induced epitope retrieval by 10mM citrate buffer, pH6.0, 100ºC for 10min.

7 / 15
Anti-Neurotrophin 4 antibody [2E8] used in IHC (Paraffin sections) (IHC-P). GTX83981
GTX83981 IHC-P Image

IHC-P analysis of human lung tissue using GTX83981 Neurotrophin 4 antibody [2E8].
Antigen retrieval : Heat-induced epitope retrieval by 10mM citrate buffer, pH6.0, 100ºC for 10min.

8 / 15
Anti-Neurotrophin 4 antibody [2E8] used in Western Blot (WB). GTX83981
GTX83981 WB Image

WB analysis of COS-7 and MCF-7 cell lysate using GTX83981 Neurotrophin 4 antibody [2E8].
Loading : 10 ug per lane
Dilution : 1:200

9 / 15
Anti-Neurotrophin 4 antibody [2E8] used in IHC (Paraffin sections) (IHC-P). GTX83981
GTX83981 IHC-P Image

IHC-P analysis of human endometrium tissue using GTX83981 Neurotrophin 4 antibody [2E8].
Antigen retrieval : Heat-induced epitope retrieval by 10mM citrate buffer, pH6.0, 100ºC for 10min.

10 / 15
Anti-Neurotrophin 4 antibody [2E8] used in IHC (Paraffin sections) (IHC-P). GTX83981
GTX83981 IHC-P Image

IHC-P analysis of human breast adenocarcinoma tissue using GTX83981 Neurotrophin 4 antibody [2E8].
Antigen retrieval : Heat-induced epitope retrieval by 10mM citrate buffer, pH6.0, 100ºC for 10min.

11 / 15
Anti-Neurotrophin 4 antibody [2E8] used in IHC (Paraffin sections) (IHC-P). GTX83981
GTX83981 IHC-P Image

IHC-P analysis of human kidney carcinoma tissue using GTX83981 Neurotrophin 4 antibody [2E8].
Antigen retrieval : Heat-induced epitope retrieval by 10mM citrate buffer, pH6.0, 100ºC for 10min.

12 / 15
Anti-Neurotrophin 4 antibody [2E8] used in IHC (Paraffin sections) (IHC-P). GTX83981
GTX83981 IHC-P Image

IHC-P analysis of human breast tissue using GTX83981 Neurotrophin 4 antibody [2E8].
Antigen retrieval : Heat-induced epitope retrieval by 10mM citrate buffer, pH6.0, 100ºC for 10min.

13 / 15
Anti-Neurotrophin 4 antibody [2E8] used in IHC (Paraffin sections) (IHC-P). GTX83981
GTX83981 IHC-P Image

IHC-P analysis of human colon adenocarcinoma tissue using GTX83981 Neurotrophin 4 antibody [2E8].
Antigen retrieval : Heat-induced epitope retrieval by 10mM citrate buffer, pH6.0, 100ºC for 10min.

14 / 15
Anti-Neurotrophin 4 antibody [2E8] used in Western Blot (WB). GTX83981
GTX83981 WB Image

WB analysis of HEK293T cells transfected with Neurotrophin 4 plasmid (Right) or empty vector (Left) for 48 hrs using GTX83981 Neurotrophin 4 antibody [2E8].
Loading : 5 ug per lane

15 / 15
Anti-Neurotrophin 4 antibody [2E8] used in IHC (Paraffin sections) (IHC-P). GTX83981
Anti-Neurotrophin 4 antibody [2E8] used in IHC (Paraffin sections) (IHC-P). GTX83981
Anti-Neurotrophin 4 antibody [2E8] used in Immunocytochemistry/ Immunofluorescence (ICC/IF). GTX83981
Anti-Neurotrophin 4 antibody [2E8] used in IHC (Paraffin sections) (IHC-P). GTX83981
Anti-Neurotrophin 4 antibody [2E8] used in IHC (Paraffin sections) (IHC-P). GTX83981
Anti-Neurotrophin 4 antibody [2E8] used in IHC (Paraffin sections) (IHC-P). GTX83981
Anti-Neurotrophin 4 antibody [2E8] used in IHC (Paraffin sections) (IHC-P). GTX83981
Anti-Neurotrophin 4 antibody [2E8] used in IHC (Paraffin sections) (IHC-P). GTX83981
Anti-Neurotrophin 4 antibody [2E8] used in Western Blot (WB). GTX83981
Anti-Neurotrophin 4 antibody [2E8] used in IHC (Paraffin sections) (IHC-P). GTX83981
Anti-Neurotrophin 4 antibody [2E8] used in IHC (Paraffin sections) (IHC-P). GTX83981
Anti-Neurotrophin 4 antibody [2E8] used in IHC (Paraffin sections) (IHC-P). GTX83981
Anti-Neurotrophin 4 antibody [2E8] used in IHC (Paraffin sections) (IHC-P). GTX83981
Anti-Neurotrophin 4 antibody [2E8] used in IHC (Paraffin sections) (IHC-P). GTX83981
Anti-Neurotrophin 4 antibody [2E8] used in Western Blot (WB). GTX83981
  • Host
    Mouse
  • Clonality
    Monoclonal
  • Clone Name
    2E8
  • Isotype
    IgG1
  • Applications
    WB ICC/IF IHC-P
  • Reactivity
    Human, Monkey
See all Neurotrophin 4 products