Nkx2.5 antibody, Internal

Cat. No. GTX88402
Cat. No.  GTX88402
Anti-Nkx2.5 antibody, Internal used in Western Blot (WB). GTX88402
GTX88402 WB Image

WB analysis of human heart lysate using GTX88402 Nkx2.5 antibody, Internal.
Dilution : 0.3μg/ml
Loading : 35μg protein in RIPA buffer

1 / 3
Anti-Nkx2.5 antibody, Internal used in Immunocytochemistry/ Immunofluorescence (ICC/IF). GTX88402
GTX88402 ICC/IF Image

ICC/IF analysis of PFA fixed U2OS cells using GTX88402 Nkx2.5 antibody, Internal.
Green : Primary antibody
Blue : DAPI
Negative control : Unimmunized goat IgG
Permeabilization : 0.15% Triton
Dilution : 5μg/ml

2 / 3
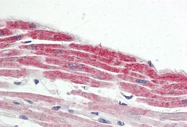
Anti-Nkx2.5 antibody, Internal used in IHC (Paraffin sections) (IHC-P). GTX88402
GTX88402 IHC-P Image

IHC-P analysis of human heart using GTX88402 Nkx2.5 antibody, Internal.
Antigen retrieval : citrate buffer pH 6
Dilution : 3.75μg/ml

3 / 3
Anti-Nkx2.5 antibody, Internal used in Western Blot (WB). GTX88402
Anti-Nkx2.5 antibody, Internal used in Immunocytochemistry/ Immunofluorescence (ICC/IF). GTX88402
Anti-Nkx2.5 antibody, Internal used in IHC (Paraffin sections) (IHC-P). GTX88402
  • Host
    Goat
  • Clonality
    Polyclonal
  • Isotype
    IgG
  • Applications
    WB ICC/IF IHC-P
  • Reactivity
    Human
See all Nkx2.5 products