Noxa antibody

Cat. No. GTX85521
Cat. No.  GTX85521
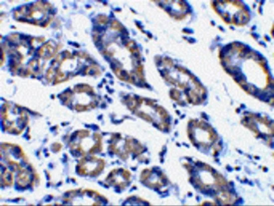
Anti-Noxa antibody used in IHC (Paraffin sections) (IHC-P). GTX85521
GTX85521 IHC-P Image

IHC-P analysis of human stomach tissue using GTX85521 Noxa antibody.
Working concentration : 2.5 μg/ml

1 / 7
Anti-Noxa antibody used in IHC (Paraffin sections) (IHC-P). GTX85521
GTX85521 IHC-P Image

IHC-P analysis of human stomach tissue using GTX85521 Noxa antibody.
Working concentration : 10 μg/ml

2 / 7
Anti-Noxa antibody used in IHC (Paraffin sections) (IHC-P). GTX85521
GTX85521 IHC-P Image

IHC-P analysis of human stomach tissue using GTX85521 Noxa antibody.
Working concentration : 1 μg/ml

3 / 7
Anti-Noxa antibody used in Western Blot (WB). GTX85521
GTX85521 WB Image

WB analysis of human stomach tissue lysate using GTX85521 Noxa antibody.
Working concentration : (A) 0.5, (B) 1, and (C) 2 μg/ml

4 / 7
Anti-Noxa antibody used in Western Blot (WB). GTX85521
GTX85521 WB Image

The data was published in the journal PLoS One in 2017. PMID: 29045486

5 / 7
Anti-Noxa antibody used in Western Blot (WB). GTX85521
GTX85521 WB Image

The data was published in the journal PLoS One in 2017. PMID: 29045486

6 / 7
Anti-Noxa antibody used in Western Blot (WB). GTX85521
GTX85521 WB Image

The data was published in the journal PLoS One in 2017. PMID: 29045486

7 / 7
Anti-Noxa antibody used in IHC (Paraffin sections) (IHC-P). GTX85521
Anti-Noxa antibody used in IHC (Paraffin sections) (IHC-P). GTX85521
Anti-Noxa antibody used in IHC (Paraffin sections) (IHC-P). GTX85521
Anti-Noxa antibody used in Western Blot (WB). GTX85521
Anti-Noxa antibody used in Western Blot (WB). GTX85521
Anti-Noxa antibody used in Western Blot (WB). GTX85521
Anti-Noxa antibody used in Western Blot (WB). GTX85521
  • Host
    Rabbit
  • Clonality
    Polyclonal
  • Isotype
    IgG
  • Applications
    WB IHC-P ELISA
  • Reactivity
    Human, Mouse, Rat
See all Noxa products